항문은 소화관의 가장 마지막 부분이 끝나고 몸의 외부로 나가는 구멍을 말하고, 항문관(anal canal)은 대장의 끝부분인 직장을 몸의 외부와 연결시켜 주는 관(canal)을 지칭하는 것입니다.
항문암은 항문에 생기는 악성 종양(암)으로, 평균 60세 전후에 진단되는 드문 암입니다. 편평상피세포암, 총배설강암, 악성 흑색종, 선암 등이 발생할 수 있으며, 그 중에서 편평상피세포암과 총배설강암이 가장 흔한 항문암입니다.
암의 위험요인에는 50세 이상의 연령, 사람유두종바이러스 감염, 성상대자가 많은 경우, 항문 성교, 항문 부위의 잦은 염증성 질환, 자궁경부ㆍ외음부ㆍ질암의 병력, 장기이식 후 면역억제제 사용, 인체면역결핍바이러스 감염, 흡연 등이 있습니다.
항문암의 2차 예방은 대장내시경검사 등으로 조기검진하여 암을 조기에 발견하는 것입니다.
항문암에서 나타날 수 있는 증상은 항문과 직장에서의 출혈, 항문 부위의 종괴감, 항문과 항문 주위의 통증, 항문 주위 가려움, 항문으로부터의 분비물(점액 분비), 배변 습관의 변화, 배변 후 잔변감, 변실금이 있습니다.
항문암은 눈에 쉽게 보이거나 수지검사로 쉽게 촉지할 수 있는 위치에 있기 때문에 진단 및 임상적 병기를 결정하는데 신체검사가 매우 중요합니다. 암이 의심되는 경우에는 반드시 조직검사를 해야 합니다. 조직검사에서 항문암으로 확진된 경우 전산화 단층촬영(CT), 흉부 X-선 검사, 자기공명영상(MRI), 양전자방출단층촬영(PET 또는 PET-CT)을 통해 암의 크기와 침습 및 전이 정도를 파악합니다. 직장이나 항문에서 출혈이 있는 경우 치질, 게실증, 혈관이형성, 궤양성 대장염, 감염성 장염, 허혈성 장염, 고립성 직장궤양 등과 감별해야 합니다.
항문암의 치료는 복회음 절제술, 항문을 통한 국소절제술 등의 수술요법, 방사선요법, 항암화학요법, 그리고 이들을 병합하여 이용하는 방법 등이 있습니다. 일부 환자에 대해서는 비수술적인 치료가 필요한 경우가 있습니다. 절제가 불가능한 경우이거나, 재발한 병변이 넓은 경우, 수술이 불가능한 내과적인 문제 등이 있는 경우에는 방사선치료만 단독으로 하든지, 화학요법과의 복합요법을 시행하여 항문의 괄약근을 보존할 수 있습니다.
항문암 수술 후 발생할 수 있는 합병증으로는 폐합병증, 복강 내 고름집(농양), 출혈, 장폐색, 배뇨장애 및 성기능 장애, 장루 관련 합병증이 있습니다. 항암화학요법의 부작용에는 백혈구나 혈소판 감소증, 탈모, 오심, 구토, 피로 등이 있으며 방사선 치료의 부작용에는 골반부 통증, 배변 습관의 변화, 배뇨장애, 항문 통증, 설사 등이 있습니다.
항문암에서의 전이는 혈관을 통한 전파, 림프절을 통한 전파, 경복막 전파 등의 경로로 전이가 일어납니다. 항문암의 1차 치료인 항암화학 방사선치료의 효과에도 불구하고, 국소재발율은 40%까지 보고 되고 있습니다. 항문암은 항문 주변에 다른 구조물이 가까이 있어 주위 구조물로 암세포가 침윤되어 국소재발이 생길 수 있습니다. 골반 밖 원격 전이의 위험성은 10~20%로 낮으며, 종종 국소재발과 동반되어 생기는데 흔한 부위는 간, 폐, 골, 골반 밖의 림프절입니다.
항문은 소화관의 가장 마지막 부분이 끝나고 몸의 외부로 나가는 구멍을 말하고, 항문관(anal canal)은 대장의 끝부분인 직장을 몸의 외부와 연결시켜 주는 관(canal)을 지칭하는 것입니다. 항문관은 해부학적 항문관과 외과적 항문관으로 나누어 정의되는데, 해부학적 항문관은 항문연(anal verge)에서 치상선(dentate line)까지로 2.5~3cm길이이고, 외과적 항문관은 항문직장륜(anorectal ring)까지이며 4~5cm길이입니다. 항문연(anal margin)은 항문 입구에서 지름 5cm 내에 있는 피부 부위입니다. 직장에서 항문관으로 넘어가는 부위인 항문직장륜(anorectal ring)은 치골직장근(puborectalis muscle)이라는 근육에 의해 형성됩니다. 항문직장륜 부위에서 장이 앞쪽으로 굴곡을 하게 되며, 이때 형성되는 항문직장각(anorectal angle)은 배변 조절에 중요한 역할을 합니다.
항문관의 내부를 덮고 있는 점막은 항문관의 상부에서는 직장의 점막과 동일한 기둥 모양의 입방형 상피세포(columnar epithelial cell)로 되어 있고, 이행구역(transitional zone)을 지나면서 상피세포 모양이 편평해져서 하부는 편평상피세포(squamous epithelial cell)로 구성되어 있습니다.
직장에서 항문관으로 내려오면서 내강이 좁아지는데, 이로 인해 항문관 내부의 점막이 접히게 되어 약 12~14개의 모르가니주(columns of Morgagni)라는 주름 모양이 생깁니다. 모르가니주 아래에는 항문관 중간 부위에 치상선(dentate line)이라고 하는 톱니 모양의 눈으로 구별되는 경계 부위가 있습니다. 이 부위에서 항문관 점막의 상피세포 모양이 바뀝니다. 상부의 점막 색깔은 분홍색이고, 하부는 자주색입니다. 항문연은 편평상피세포로 덮여 있는데, 이는 항문의 바깥 피부로 연결되어 합쳐집니다.
항문관은 괄약근으로 둘러싸여 있는데, 괄약근은 배변시에는 이완되어 대변이 배출되게 하고, 그 외에는 수축된 상태로 있으면서 배변되는 것을 막습니다.

[ 항문의 위치 및 구조 ]
항문은 직장의 대변을 몸 밖으로 배출하는 역할을 합니다. 배변 시에는 항문관 주위의 괄약근이 이완되어 대변이 배출되게 하고, 그 외의 기간에는 괄약근이 수축된 상태로 있으면서 대변의 배출을 막습니다. 괄약근이 약해지면 변실금이 생깁니다.
항문암은 항문에 생기는 악성 종양(암)으로, 평균 60세 전후에 진단되는 드문 암입니다.
항문암에서 나타날 수 있는 증상들은 다음과 같습니다.
이들 증상은 항문암 이외의 다른 질환이나 상태에서도 생길 수 있기 때문에 위의 증상들이 있을 때는 꼭 의사와 상의해야 합니다.
다른 암과 같이 항문암도 초기에는 특별한 증상이 없을 수도 있습니다. 또는 원래의 발생 부위에서 암이 발견되기 전에 서혜부(사타구니)에서 먼저 종괴가 만져지는 경우도 있고, 암이 다른 부위로 전이되어 그로 인한 증상이 먼저 생길 수도 있습니다. 종종 치핵수술 후 조직 검사에서 암이 발견되는 경우도 있습니다.
조기 항문암은 비교적 항문의 바깥 부위에서 발생한 경우에는 일찍 발견되기도 합니다. 그러나 증상이 없을 수도 있기 때문에 여타 검사나 치질 수술에서 우연히 발견되는 경우도 있습니다.
진행된 항문암에서 나타나는 가장 흔한 증상은 항문이나 직장에서의 출혈입니다. 약30%의 환자는 항문주위 통증 또는 항문의 종괴감이나 이물감을 느낍니다. 갑자기 대변을 보기가 힘들어지거나 횟수가 변하는 등의 배변 습관의 변화, 배변 후에 변이 남은 느낌, 배변시의 통증, 예전보다 가늘어진 변, 항문 주위나 서혜부의 종괴감 등도 나타날 수 있습니다. 항문 부위는 민감한 부분으로 항문암이 진행되면 심한 통증을 일으킬 수 있습니다.
항문암은 눈에 쉽게 보이거나 수지검사로 쉽게 촉지할 수 있는 위치에 있기 때문에 진단 및 임상적 병기를 결정하는데 신체검사가 매우 중요합니다. 비록 종양이 크더라도 항암화학·방사선 병용요법 치료 후 종양이 육안상 사라지는 경우가 많기 때문에 치료를 시작하기 전에 정확한 병변의 위치 및 크기를 파악하는 것이 중요합니다.
직장수지검사는 항문암을 조기에 발견하는데 도움이 됩니다. 의사가 장갑 낀 손으로 윤활제를 바르고 항문으로 손가락을 넣어서 항문과 직장에 비정상적인 덩어리가 만져지는 지를 검사하는 것입니다. 항문암의 위험도가 높은 사람은 검사를 자주 받을 필요가 있습니다. 암이 의심되는 경우에는 반드시 조직검사를 해야 합니다. 조직검사에서 항문암으로 확진된 경우 전산화단층촬영(CT), 흉부 X-선 검사, 자기공명영상(MRI), 양전자방출단층촬영(PET 또는 PET-CT)을 통해 암의 크기와 침습 및 전이 정도를 파악합니다.
인체면역결핍바이러스(HIV) 양성인 환자에게서 항문암 발생 위험이 높다는 보고가 있으므로 인체면역결핍바이러스(HIV) 검사와 CD4 수치 측정이 제안됩니다. 또한 사람유두종바이러스(HPV)와 항문암 사이에 상관 관계가 있으므로 여성 항문암 환자의 경우 자궁경부암 검사와 같은 부인과 계열의 검사가 제안됩니다.
항문암을 진단할 수 있는 검사의 종류는 다음과 같습니다.
환자의 신체를 검사하여 비정상적인 종괴나 다른 이상한 점을 발견하는 것입니다. 환자의 과거 병력이나 치료받은 경험에 대한 것을 물어서 질환의 진단에 도움을 받습니다.
이 검사는 의사가 장갑 낀 손으로 윤활제를 바르고 항문으로 손가락을 넣어서 항문과 직장에 비정상적인 덩어리가 만져지는 지를 검사하는 것입니다.
잠혈검사는 위장관 출혈을 알아내기 위해서 또는 대장항문암의 조기 진단을 위해서 사용됩니다. 비교적 저렴한 비용으로 큰 불편 없이 검사가 가능하지만 위음성도, 위양성도가 높아서 검사의 정확도가 떨어집니다.
항문과 항문연에서 짧은 거리 내의 하부 직장을 관찰하는 검사방법입니다. 관찰을 하면서 동시에 조직검사도 시행할 수 있습니다.
항문암 외에 대장에 다른 병변이 있는지 확인하기 위해 시행합니다. 대장내시경검사란 내시경으로 대장을 직접 보는 검사 방법으로 대장질환 검사에서 가장 정확한 진단방법입니다. 그 이유는 의사가 직접 병변의 표면을 관찰하거나 조직 상태를 파악할 수 있기 때문입니다.
내시경검사와 동시에 조직검사도 가능합니다. 짧은 시간 동안만 작용하는 진정제(수면제)를 정맥 주사하여 수면 상태와 비슷한 상태에서 큰 불편감 없이 내시경 검사를 시행받을 수 있는 진정하 대장내시경(수면 대장내시경)검사도 있습니다. 정확한 검사를 위해 환자는 전날 저녁식사는 등으로 가볍게 하고 하제를 복용하여 대장 내에 남아있는 분변을 제거해야 합니다.

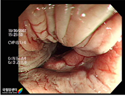
[ 항문암의 대장내시경 소견 ]

[ 대장내시경 기구 ]
전산화단층촬영(CT)은 항문암 자체의 진단, 인접 장기 및 멀리 있는 장기 (예: 간, 폐), 림프절로의 전이 여부 등을 규명하는데 사용됩니다. 전산화단층촬영(CT)은 국소부위에 종양 확산 정도를 평가하는데 도움을 주며, 특히 종양이 주변 조직이나 다른 장기를 침범했을 가능성이 있을 때 진단에 더욱 도움을 줍니다. 간이나 폐, 림프절 등으로의 전이 여부를 검사할 때 가장 널리 사용되는 방법입니다.

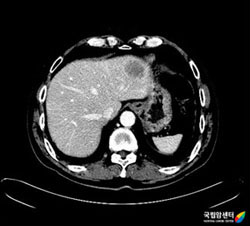
[ 간으로 전이된 항문암의 CT 소견 ]
보통의 전산화단층촬영(CT)을 위해서 전날은 특별한 처치를 필요로 하지 않고, 다만 검사 당일 8시간 정도의 금식이 필요합니다. 전산화단층촬영(CT)을 시행하는 동안 환자는 정맥주사를 통해서 조영제를 주입받은 후에 검사를 받습니다. 이때, 콩팥의 기능이 떨어져 있는 환자나 이전에 조영제에 알레르기 반응, 즉 조영제 주입 후 심한 구토, 발적, 두드러기, 가려움증, 목이 붓고 쉬는 듯한 증상을 보인 적이 있는 환자는 전산화단층촬영(CT)을 시행하기 전에 담당 의사와 상의해야 합니다.
전산화단층촬영 대장내시경검사(CT colonography)는 항문을 통해 작은 튜브를 넣고 공기 또는 이산화탄소를 주입하여 대장을 부풀린 후 전산화단층촬영기를 통해 얇은, 즉 두께 1~3mm의 단면 영상들을 얻는 검사 방법입니다. 이 영상들을 컴퓨터에서 3차원 영상재구성 소프트웨어를 이용하여 3차원의 가상 영상을 만들어서 다평면 영상 및 내시경으로 대장 내부를 보듯이 검사할 수 있는 대장내시경 방법입니다. 검사를 받기 위해서는 전날 저녁에 죽 등으로 가볍게 식사한 후 하제를 복용하여 대장 내부에 남아 있는 분변을 제거해야 합니다.

[ 전산화단층촬영 대장내시경에서 발견된 대장 용종 ]
항문암 진단 후 골반의 림프절이나 복부, 골반 기관 등 주변에 대한 암의 파급 범위 파악을 위한 것으로 항문암 진단 후, 치료 방침 결정 전에 병기를 파악하기 위해 시행되는 검사입니다.
전산화단층촬영(CT)과 상호보완적으로 복강 내 장기로의 전이를 파악하는데 주로 사용되는 검사입니다. 특히 간전이 등을 발견하는데 유용합니다.
일반적으로 암세포가 정상세포에 비해 대사활동이 빠른 점을 이용하여 포도당에 양전자방출체를 표지물질로 부착시켜 주사한 후 표지물질로부터 방출되는 감마선을 통해 암세포를 발견하는 검사법이 양전자방출단층촬영(PET) 검사입니다. 그러나 이 검사로부터 얻어지는 영상은 해부학적인 정보가 뚜렷하지 못하며 때로는 암이 아닌 염증 등의 병변에 의해서도 양성을 보이는 단점이 있습니다. 그리하여 양전자방출단층촬영(PET)검사와 함께 전산화단층촬영(CT)검사도 시행하여 두 검사의 결과를 하나의 영상으로 조합함으로써 PET검사만 시행할 때의 단점을 극복한 양전자방출단층촬영-전산화단층촬영복합영상(PET-CT)검사가 개발되었습니다. 현재 나온 암 검사방법 중 가장 민감도가 높다고 알려진 검사방법입니다.
이 검사는 다른 검사보다 먼저 시행되거나 단독으로 시행되는 일이 드물며, 수술 전 전산화단층촬영(CT)에서 전이가 의심될 때 자기공명영상(MRI)검사와 함께 타 장기로의 전이를 확인하고자 할 때 사용되거나, 특히 수술 후 추적 전산화단층촬영(CT)검사에서 재발 또는 전이가 의심되는 경우에 추가로 많이 사용됩니다. 양전자방출단층촬영(PET)에서 양성 반응을 보이는 부위 또는 병변이 확인되면 해당부위의 조직검사를 시행할 수도 있습니다.
항문암이 발생하면 점점 크기가 커지게 되고, 초기에는 항문 내에 있다가 계속 진행되면 항문을 벗어나 주변 장기나 구조물로 침범해 가게 되고 결국은 멀리 떨어진 장기까지 전이하게 됩니다.
항문암의 치료 방법과 예후 인자를 알아내기 위해서 항문암의 병기를 정확하게 분류하는 것은 중요한 일입니다. 항문암은 진행 단계에 따른 TNM병기를 사용하여 다음과 같이 분류합니다. 항문관암과 항문연암은 각각 다른 TNM 병기를 사용합니다.
암의 진행 정도를 병기라고 하는데, 원발 종양의 크기 및 주변 장기나 구조물로의 침범 정도(T), 림프절 전이 유무(N), 그리고 간, 폐 등 원격 장기 전이 여부(M)를 종합하여 결정됩니다. 병기는 1기에서 4기로 분류되고, 숫자가 높을수록 더 많이 진행된 항문암입니다.
현재 항문관암에 대해 권고되는 일차 치료에는 수술적 절제가 포함되지 않기 때문에, 대부분의 항문관암이 임상적으로 병기가 진단되고 있으며 원발 종양의 크기는 육안과 현미경에 의한 확진으로 결정되고 있습니다. 따라서 수술에 의해 종양을 직접 확인하지 않으므로 림프절의 정확한 상태를 알 수 없는 경우가 있습니다. 서혜부의 림프절 전이가 의심될 때는 조직 검사를 하는 것이 권고되고 있습니다.
| TNM 병기 | 정 의 | |
|---|---|---|
| T병기 (원발종양) |
TX | 원발 종양을 알 수 없는 경우 |
| T0 | 항문 부위에 원발 종양의 증거가 없는 경우 | |
| Tis | 상피내암 | |
| T1 | 종양의 최대 직경 ≤ 2cm | |
| T2 | 2cm > 종양의 최대 직경 ≤ 5cm | |
| T3 | 종양의 최대 직경 > 5cm | |
| T4 | 주위 장기 (질, 요도관, 방광)을 침범한 경우 | |
| N병기 (림프절 전이 정도) |
NX | 국소림프절의 상태가 평가 안 될 경우 |
| N0 | 림프절 전이가 없는 경우 | |
| N1 | 국소 림프절 전이가 있는 경우 | |
| M병기 (원격 전이 유무) |
MX | 원격 전이를 알 수 없는 경우 |
| M0 | 원격 전이가 없는 경우 | |
| M1 | 원격전이가 있는 경우 | |
TNM 병기에 해당하는 병기의 Grouping은 다음과 같습니다.
| 분류 | T | N | M |
|---|---|---|---|
| 병기 0 | Tis | N0 | M0 |
| 병기 1 | T1 | N0 | M0 |
| 병기 2A | T2 | N0 | M0 |
|
병기 2B |
T3 | N0 | M0 |
| 병기 3A | T1-T2 | N1 | M0 |
|
병기 3B |
T4 | N0 | M0 |
|
병기 3C |
T3-T4 |
N1 |
M0 |
| 병기 4 | Any T | Any N | M1 |
직장이나 항문에서 출혈이 있는 경우 치질, 게실증, 혈관이형성, 궤양성 대장염, 감염성 장염, 허혈성 장염, 고립성 직장궤양 등과 감별해야 합니다. 배변습관의 변화가 있는 경우 염증성 장질환, 감염성 설사, 약제 복용, 과민성 장증후군과 감별이 필요하며 복부 종괴가 만져지는 경우 양성 종양, 게실증, 크론병, 결핵, 아메바증 등과 감별해야 합니다.
항문암의 치료는 복회음 절제술, 항문을 통한 국소절제술 등의 수술요법, 방사선요법, 항암화학요법, 그리고 이들을 병합하여 이용하는 방법 등이 있습니다.
과거에는 진행된 침습성 항문암은 대개 복회음절제술(abdominoperineal resection)이라고 하는 수술을 받았습니다. 이 수술은 항문관, 항문연, 항문 주위 피부, 직장을 절제하는 수술로, 항문을 없애고 대신 인공항문(장루)을 만드는 수술입니다. 하지만 이러한 수술은 국소재발률이 높고, 5년 생존율이 40~70%이였으며, 영구 장루와 같은 합병증이 많이 발생하였습니다.
또한 일부 환자에 대해서는 비수술적인 치료가 필요한 경우가 있습니다. 절제가 불가능한 경우이거나, 재발한 병변이 넓은 경우, 수술이 불가능한 내과적인 문제 등이 있는 경우에는 방사선치료만 단독으로 하든지, 항암화학요법과의 복합요법을 시행하여 항문의 괄약근을 보존할 수 있습니다.
현재의 항문암의 치료 목표는 암을 국소적으로 조절하고, 항문 괄약근을 보존하면서 영구 장루가 필요한 상황을 피하는 것입니다.
현재는 항문관암 또는 T2~4 (림프절 전이는 음성 또는 양성)인 항문연암의 경우 일차 치료로 동시 항암화학-방사선요법(concurrent chemoradiation therapy)이 복회음절제술 대신에 권유되고 있습니다. 잘 분화된(well differentiated) 항문연암(T1, N0), 접근이 쉬운 원위부 항문관 종양, 2cm 이하의 작은 종양의 경우는 국소절제술만으로도 치료할 수 있으며, 정상 항문 기능을 보존할 수 있습니다.
최근 항암화학-방사선요법으로 인한 완전관해 비율이 67~87%로 보고되고 있습니다. 완전관해는 치료로 인해 암으로 인한 모든 징후(sign)가 사라진 것을 의미합니다. 하지만 완전관해가 항상 암의 완전한 치료를 의미하는 것은 아닙니다.
항문관암의 일차 치료로는 항암화학-방사선요법이 사용되고 있습니다. 항암화학요법 약물인 5-에프유(5-FU)와 마이토마이신(mitomycin)을 사용하고 동시에 방사선 치료를 같이 하는 것입니다. 이는 항암제의 방사선 감수성 효과 때문에 방사선만을 단독으로 사용했을 때보다 더 적은 조사량으로도 치료 효과가 크다고 알려져 있습니다. 방사선치료의 시기는 최근 보고되는 대부분의 사례에서 항암제 치료와 동시에 시행하고 있으며, 방사선치료 시점을 기준으로 항암제의 약제별로 투여 시간 및 방법에 따라 차이가 있으나 일반적으로 순차적 치료보다는 동시 치료가 더 높은 반응률을 나타내고 있는 것으로 알려져 있습니다. 이때, 방사선 선량(radiation dose)은 병기가 높을수록 많아집니다. 5-에프유(5-FU)와 마이토마이신(mitomycin)은 방사선 치료하는 1주와 5주 동안에 최소한 2주기(cycle)가 투여됩니다.
항문연암은 임상적 병기에 따라 국소절제술 또는 항암화학-방사선요법으로 치료합니다.
잘 분화된(well differentiated) T1, N0항문연암의 경우는 충분한 절제연(암에서부터 절제 부분까지의 길이)을 확보하면서 국소절제술로 치료합니다. 암에서부터 절제연까지의 길이가 충분치 못할 경우에는 다시 국소절제술을 시행합니다. 만약 절제연의 길이가 충분하지 않다면 대체 치료로 국소 방사선치료±항암화학요법을 고려해 볼 수 있습니다. T 2-4이고 림프절 전이 양성인 항문연암은 5-에프유/마이토마이신 + 방사선 치료를 합니다.
5-플루오로우라실(5-fluorouracil), 시스플라틴(cisplatin), 카보플라틴(carboplatin), 파클리탁셀(paclitaxel) 등이 사용되고 있습니다.
새로운 기전의 항암제로 면역 항암제가 개발되어 시판되고 있습니다. 우리 몸의 면역세포가 암세포를 죽이는 과정을 방해하는 신호 기전을 차단하는 원리이며, 이를 통하여 면역세포가 암세포를 공격하게 만드는 항암제입니다. 기존의 항암제들은 직접 암세포를 손상시키거나, 성장을 억제하여 치료 효과를 기대하는 약제들이었다면, 면역 항암치료제는 우리 몸의 면역세포의 작용을 조절하여, 면역세포가 암세포를 공격할 수 있도록 만드는 약제입니다. 항문암에서도 면역항암제인 옵디보(nivolumab), 키트루다(pembrolizumab)가 기존 세포독성항암제의 실패 이후 사용될 수 있습니다.
수술 후에 음과 같은 합병증들이 발생할 수 있습니다.
폐에 생기는 합병증으로 무기폐(無氣肺), 폐렴 등이 있습니다. 무기폐란 어떤 이유에서든 호흡기의 분비물(가래 따위)이 쌓여 기관지를 막는 바람에 공기가 들어가지 못하고 폐가 쭈그러든 상태를 말하며, 수술 후 통증으로 깊은 숨을 쉬지 못할 경우에도 발생합니다. 이를 방치하면 호흡곤란과 폐부전증이 올 수 있고, 폐렴이 생기기도 쉽습니다. 폐합병증을 예방하기 위해서는 심호흡, 기침하기, 가래 뱉어내기 등을 꾸준히 해야 합니다.
복회음 절제술 후에 배 안에 고름집이 생기는 것입니다. 큰 수술 범위, 긴 수술 시간, 환자의 면역력 저하, 고령이나 당뇨 등이 위험 요인입니다. 수술 후 5~10일 사이에 배가 아프고, 열이 나면 전산화단층촬영(CT)으로 복강 내 농양(고름집)을 진단할 수 있고 배 안에 관을 삽입하여 고름을 바깥으로 빼고 항생제 치료를 합니다.
수술 부위에 출혈이 생길 수 있습니다. 출혈이 심하지 않으면 저절로 지혈되는지 지켜볼 수 있으나 심한 경우 재수술을 하기도 합니다.
수술 상처가 잘 아물지 않거나 곪는 경우가 발생할 수 있습니다. 염증이 약한 경우 간단한 상처 치료(드레싱, dressing)를 통해 나을 수 있으나 심한 경우 상처 치료 후 수술실에서 다시 수술 상처를 봉합할 수도 있습니다.
수술한 부위로 장이 들러붙고(장유착) 이로 인해 장이 움직이지 못해 음식물이 통과하지 못하는 현상(장폐색)이 생길 수 있습니다. 또한 수술부위로 장이 뒤틀리고 장과 함께 혈관도 몇 바퀴 꼬이게 되면 피가 안 통하여 장이 썩을 수도 있습니다. 이때 환자는 배가 아프거나 불러 오고 구토를 하며 방귀가 전혀 나오지 않습니다. 장폐색이 심하지 않을 때는 코로 비위관(콧줄)을 넣어 장내 압력을 떨어뜨리고 금식을 하고 항생제를 투여하면서 기다리면 유착이 풀리면서 장폐색이 호전될 수 있습니다. 만약 비위관과 금식으로 호전이 되지 않으면 수술을 하여 유착 부위를 풀어주는데 경우에 따라 장을 절제해야 할 수도 있습니다. 장폐색은 생명을 위협할 수 있는 위험한 합병증입니다.
수술 후 가능한 한 많이 걷는 것이 중요한 예방법입니다.
항문암을 수술할 때, 암이 배뇨와 성기능에 관여하는 신경을 침범했거나 아주 근접한 경우엔 불가피하게 그 신경을 같이 절제하기도 하는데, 그 결과로 두 기능에 장애가 올 수 있습니다. 신경을 절제하지 않았더라도 수술로 인해 신경으로 가는 혈액의 공급이 한동안 막혀 수술 후 일시적으로 배뇨와 성기능에 장애가 나타날 수 있습니다. 배뇨장애는 이 외에 수술 후 투여되는 진통제에 의해서도 생길 수 있습니다.
복회음 절제술에서는 대부분의 환자에게 일시적으로 배뇨장애가 발생할 수 있습니다. 이것도 시간이 경과하면 대부분 정상으로 돌아옵니다.
성기능 장애는 남성의 경우 발기가 안 되기도 하고, 사정하는 느낌은 있는데 정액이 나오지 않기도 합니다(이를 역행성 사정이라고 합니다). 이러한 증상이 지속되면 담당 의사나 비뇨기과 의사와 상담하십시오. 여성은 성관계 시에 윤활액이 적어지거나 통증을 느낄 수 있는데, 그럴 때는 부인과 의사의 진료를 받는 것이 좋습니다.
수술 후의 성기능 장애에 신경 차단 같은 신체적 요인보다 암에 대한 불안감과 스트레스 등 심리적 요인이 더 크게 작용하는 경우가 종종 있습니다. 배우자의 이해와 포용이 필요하며, 정신과 의사와의 상담이 도움이 될 수도 있습니다.
위의 장루 관련 합병증들이 생기면 재수술이 필요한 경우가 많습니다. 반드시 의사 선생님과 상의하셔야 합니다.
암세포의 성장과 분열이 빠르다는 점을 노려 항암제는 주로 빨리 자라는 세포들을 죽이도록 만들어졌습니다. 따라서 정상 세포 중 일부 빨리 증식하는 것들은 항암제의 영향을 받게 되어 부작용이 발생합니다. 그러나 치료가 끝나면 대부분 원상회복됩니다.
주로 발생하는 부작용은 백혈구나 혈소판 감소증, 탈모, 오심, 구토, 피로 등입니다. 그러나 약제에 따라 주된 증상이 다르거나 특이한 부작용을 보일 수 있습니다. 흔히 사용하는 항암제들의 부작용은 다음과 같습니다.
| 항암제 종류 | 부작용 |
|---|---|
| 5-FU) | 오심, 구토, 구내염, 설사, 식욕부진, 피부염, 발진, 탈모증 |
| 마이토마이신 | 오심, 구토, 식욕부진, 지연성 골수기능 억제(축적성, 지속성 혈소판 감소증), 발열, 신장애, 빈혈 |
표에 나열된 부작용들이 치료 때마다 발생하는 것은 아니며, 증상의 정도도 개인차는 있지만 대부분 경미하고, 치료를 중단하거나 끝내면 사라지는 게 보통입니다. 부작용이 심하면 담당 의료진과 상담하여 도움을 받으십시오.
방사선 치료의 부작용은 다음과 같습니다.
방사선 치료를 시작한 지 2~3주가 지나면 골반부가 다소 뻐근함을 느낄 수 있습니다. 이는 골반부의 연부 조직이 미세하게 붓기 때문에 나타나는 증상으로, 방사선 치료가 끝나면 대부분 자연적으로 소멸됩니다. 드물게 중등도의 통증을 호소하는 경우가 있는데 이때는 담당 의사와 상의하여 적절한 처방을 받으면 됩니다.
방사선치료를 시작하고 2~4주 정도가 지나면 뒤가 무겁고 자주 화장실에 가게 될 수 있습니다. 이때 변이 나오지 않거나 소량인 경우가 많습니다. 이것은 방사선에 의해 직장이 붓기 때문에 생기는 현상이며, 치료가 끝나고 2~4주 안에 소멸됩니다. 증상이 나타났을 때는 화장실에 가되 변을 배설하기 위해 무리하게 힘을 주지 않는 것이 좋습니다. 힘을 주면 직장이 더 붓게 되어 증상의 악순환이 일어날 수 있습니다. 변을 본 후 찬물이나 미지근한 물로 좌욕을 하면 도움이 됩니다.
방사선치료 중 방사선의 일부가 요도에 조사(照射)되어 소변을 볼 때 요도가 따끔거릴 수 있습니다. 이는 치료 중에 나타나는 일시적인 현상으로, 치료 종료와 함께 자연적으로 사라집니다. 증상이 심할 때는 담당 의사의 처방을 받으면 완화될 수 있습니다.
항문은 우리 몸에서 가장 민감한 부분의 하나여서 조그만 변화라도 아주 예민하게, 때로는 실제보가 과장하여 느낄 수 있습니다. 병변이 항문과 가까운 직장 하부에 있으면 방사선치료의 영역에 항문이 포함되기 때문에 치료 후반부에 그곳이 붓거나 피부가 벗겨지곤 합니다. 이는 불가피하지만 그리 염려할 필요는 없는 현상인데, 그래도 참기가 어렵다면 담당 의사와 상의해 적절한 처방을 받으십시오.
항문 주위의 통증에 좋은 것으로 좌욕이 있습니다. 좌욕이란 따뜻한 물에 엉덩이를 담그는 것으로, 항문 부위의 상처를 치유하고 아픔을 더는 효과가 있습니다. 보통 하루 3~4회, 한 번에 5~10분쯤 하도록 권하지만, 상태에 따라 다를 수 있으니 담당 의사나 간호사의 지시에 따르십시오. 물은 40도 이하, 손을 넣어 보아 뜨겁지 않은 정도가 적당합니다. 요오드 성분이 포함된 소독제를 물에 섞으라고 담당 의사가 지시하는 수도 있지만, 대개는 깨끗한 수돗물이면 무방합니다. 좌욕기가 없다면 그 비슷한 용기를 사용해도 됩니다.
방사선치료와 항암화학요법을 같이 받는 경우에 항암화학요법으로 인해 생기는 증상입니다. 치료가 끝나면 회복되므로 크게 염려할 필요는 없습니다.
재발은 국소재발, 원격전이, 그리고 국소재발과 원격전이가 동반된 재발의 세 가지 형태로 나타납니다.
항문암에서의 전이는 혈관을 통한 전파, 림프절을 통한 전파, 복막을 통한 전파 등으로 일어납니다. 이 중 혈액전이는 암세포가 혈관을 통해서 몸에 퍼지는 경우이며, 림프절 전이는 암 부위에서 배액되는 림프관의 림프절들이 암세포의 침범으로 커지는 것입니다. 이때 암세포가 침범한 림프절 수가 많을수록, 멀리 떨어진 림프절까지 침범할수록 예후는 나쁘게 됩니다. 복막을 통한 전파는 복강내 복막을 통해 암세포가 전이되는 것입니다.
항문암의 1차 치료인 항암화학-방사선치료의 효과에도 불구하고, 국소재발율은 40%까지 보고 되고 있습니다. 항문암은 항문 주변에 다른 구조물이 가까이 있어 주위 구조물로 암세포가 침윤되어 국소재발이 생길 수 있습니다. 골반 밖 원격 전이의 위험성은 10~20%로 낮으며, 종종 국소재발과 동반되어 생기는데 흔한 부위는 간, 폐, 뼈, 골반 밖의 림프절입니다.
항문암의 재발과 관련하여, 근치적 치료 후 재발에 대하여 정기적 추적조사가 필요합니다. 추적조사의 목적은 증상이 없이 초기에 발생하는 재발 사례를 조기 발견함으로써 재수술을 통한 근치적 절제로 생존율의 향상을 가져오는데 있습니다.
추적조사는 재발의 가능성, 재발의 시기 및 재발의 양상 등 환자의 상태에 따라 적절한 방법으로 시행됩니다. 대부분의 의사들은 최소 5년동안 3개월에서 6개월 간격으로 병원 진료를 받을 것을 권하고 있습니다.
체중감소, 식욕부진, 무력감 등 전신 증상과 복통, 골반부 통증, 기침, 배변 습관의 변화 및 항문출혈 등 재발이 의심되는 국소 증상이 발생하면 주의를 기울여야 합니다. 이때 복부, 서혜부의 진찰 및 직장수지검사와 항문경검사 그리고 여성의 경우는 부인과적 내진을 시행하여야 합니다. 이러한 증상 및 이학적 검사 소견을 기초로 하여 소견 결과에 따라 영상진단방법을 시행하여 재발을 진단하게 됩니다.
폐전이 발견을 위하여 검사를 시행합니다.
복부 초음파검사, 복부 전산화단층촬영(CT), 자기공명영상(MRI) 등의 영상진단방법은 재발했을 경우 재발의 부위와 상태를 비교적 정확하게 진단할 수 있습니다.
항문암의 1차 치료인 항암화학-방사선치료의 효과에도 불구하고, 국소재발율은 40%까지 보고되고 있습니다. 이 경우 복회음절제술을 통한 광범위한 수술이 최선의 치료방법으로 권유되고 있습니다. 항암화학-방사선치료 후에 재발 위험이 높은 암의 특징으로는 높은 T병기, 높은 N 병기 그리고 인체면역결핍 바이러스(HIV) 감염이 있습니다. 몇몇 연구에서 재발한 항문암을 복회음절제술로 치료했을 때, 합병증의 비율은 높았지만 5년 생존율은 약 50%라고 보고되었습니다. 5년 생존율은 암이 진단된 후 최소 5년뒤에 생존해 있는 환자들의 백분율(%)입니다.
항문암 1차 치료 때 방사선 치료를 받았던 경우에 재발한 부위를 복회음절제술로 치료하면 회음부의 수술 상처가 잘 낫지 않고 합병증이 생길 수 있습니다. 이 경우에 아랫배에 있는 근육을 이용하는 복직근 근피판을 이용한 재건(rectus abdominus myocutaneous flap reconstruction)으로 회음부수술 상처를 봉합하면 회음부수술 상처합병증을 줄일 수 있습니다.
항문의 혈액과 림프액이 모두 간으로 모이기 때문에 항문암에서 간은 전이가 잘 생기는 장기입니다. 항문암이 간에 전이된 경우 병기를 4기, 즉 가장 진행된 상태로 분류합니다. 재발한 항문암이 조절 가능하고 간 전이 부위도 절제 가능한 경우에는 간도 같이 절제해서 좋은 결과를 기대할 수 있습니다.
전이에 의한 간의 침범 정도가 25% 이하이고 위성전이(Satellite Nodule; 두 개 이상의 전이가 근접해서 무리지어 나타나는 모양을 말합니다)가 없는 4개 이하의 전이, 그리고 간 주위 림프절 전이 및 동반된 타 장기의 전이가 없는 간 전이는 예후가 매우 양호하다고 볼 수 있으므로 간 절제의 적응증이 됩니다. 그러므로 간 수술의 가능성 여부는 담당 의사와 상의하기 바랍니다.
간 수술이 불가능하다 하더라도 장 폐쇄가 예상되거나 간 전이가 심하지 않은 경우 직장에 있는 암을 수술로 절제하는 것이 좋습니다. 절제술 이후에 항암제 치료를 합니다.
간 전이는 항문암 환자의 제일 큰 사망원인 중 하나입니다. 그렇지만 간에 전이가 되었어도 수술 등으로 전이된 암을 절제할 수 있는 경우에는 20~40%의 장기 생존을 기대할 수 있고, 첫 번째 수술로 절제가 불가능한 경우라도 항암화학요법 후에 간 절제술이 가능한 경우에는 장기 생존을 기대할 수 있습니다. 간 전이의 정도에 따라 다르나 간 절제가 불가능해 항암화학요법만 하는 경우 5년 생존율은 5% 미만입니다.
항문암 환자가 간 전이가 있을 경우 고주파를 이용하여 열을 발생시켜 전이된 암세포를 죽이는 방법을 고주파 열치료라고 합니다.
고주파 열치료는 초음파검사(때로는 전산화단층촬(CT) 검사로)를 시행하면서 고주파 유도 가능한 약 2mm 두께의 바늘을 표피에서 간 내 전이암 종괴에 꽂고 고주파를 이용하여 열을 발생시켜 체내 국소적으로 암세포 종괴 및 주변 부분의 온도를 올려(70~80℃) 암세포를 죽이는 치료법입니다. 그러나 모든 간 내 전이암에서 사용하여 치료 가능한 것은 아니며 전이암의 크기, 개수, 위치 등의 조건이 적합해야만 시술이 가능하고 또한 치료 효과를 기대할 수 있습니다.
시술은 개복수술 중 같이 시행되거나 수술과 별개의 단독요법으로 시행되기도 합니다. 고주파 열치료 단독요법 시에는 전신마취 없이 국소마취만으로 가능하며, 전이암의 크기, 개수 등에 따라 다르나 일반적으로 약 1시간 내외의 시간이 소요됩니다.
고주파 열치료의 장점은 시술 후 별다른 문제가 없다면 24~48시간 이내에 퇴원이 가능하다는 것입니다. 하지만 고주파 열치료 부위의 미세 잔류암세포에 의한 재발이 있을 수 있고 수술보다 비용 부담이 크다는 단점이 있습니다.
폐로 전이가 되었어도 폐 외에 다른 곳에 재발되지 않았고, 폐로 전이된 병변의 수가 많지 않아 완전 절제가 가능해 보이면 수술을 고려할 수 있습니다. 이 경우 완치 가능성도 있습니다. 그리고 폐 전이 외 다른 장기의 재발이 있어도 타장기의 근치적 절제가 가능하다면 예후는 폐 전이만 있는 경우와 비슷한 결과를 보여 타장기의 재발이 동반된 폐 전이도 절제가 불가능한 것은 아닙니다.
수술이 불가능한 경우라도 항암제 치료를 통해 생명을 연장시키고 삶의 질을 향상시킬 수 있으므로 적극적으로 항암제 치료를 받을 것을 권합니다. 환자의 상태에 따라 항암제 치료로 인한 부작용을 감내하기 어려워서 환자가 증상만을 조절하면서 지낼 것을 원한다면 가족, 치료를 담당하는 의사와 충분히 상의해야 합니다.
암세포가 복강 내로 씨 뿌려지듯이 퍼진 후(이를 복막파종이라고 합니다) 이들이 점점 커져 주위로 침윤해 들어가게 된 경우를 복막 전이라 합니다. 이와 같이 복강 내로 암세포가 퍼진 상태에서는 수술적 치료로써 완치를 기대하기 어려운 경우가 많습니다. 복통, 장폐색, 복수 등과 같은 증상을 유발하며, 다른 원격 전이가 있는 경우처럼 항암제 치료로 생명을 연장시키고 삶의 질을 향상시킬 수 있습니다. 장폐색이 심한 경우에는 장 내용물의 소통을 위해 장 일부를 절제하거나 장폐색 보다 상부의 장을 이용해 장루를 만들어 주는 수술을 하기도 합니다.
척추뼈는 인체를 지탱하며, 체중을 지표로 전달하는 중심축 역할을 합니다. 아울러 척수라는 매우 중요한 신경구조물을 내부에 감싸고 있기 때문에 척추뼈가 손상되면 거동이 불편함은 물론 통증 및 신체마비 증상이 나타날 수 있습니다. 따라서 척추뼈로 전이된 경우에는 증상의 유무와 상관없이 방사선 치료를 권유하게 되는데, 그 까닭은 전이 병변의 진행으로 인해 압박골절이 발생하는 것을 방지하고 신경마비 증상을 예방하거나 지연시킬 수 있기 때문입니다. 아울러 가능할 경우 수술을 함께 시행하는 경우도 있습니다. 국소 치료가 완료된 경우에는 전신적인 치료 효과를 위해 항암화학요법을 시행합니다.
항문은 비교적 이상을 발견하기 쉬운 부위로 직장수지검사를 통해 쉽게 항문암을 진단할 수 있으며, 항암화학-방사선치료로 치료하였을 때 완전 관해 비율이 현재 67~87%로 보고되고 있습니다. 그러나 항문암의 예후는 국소침윤도, 종양의 위치 및 크기, 림프절 전이, 조직분화도, 치료방법 등의 예후 인자에 따라 달라지게 됩니다. 항문암은 흔하지 않은 암이어서 생존율에 대한 정확한 자료가 부족하지만, 중앙암등록본부(Korea Central Cancer Registry)의 SEER 자료에 따른 생존율은 다음과 같습니다. SEER자료에서는 항문암을 다음 3개의 군으로 나눕니다. 국소(localized; 대체적으로 병기1,2에 해당), 부위(regional; 대체적으로 병기 3에 해당), 원격(distant; 대체적으로 병기 4에 해당).
| 범위 | 5년 생존율 |
|---|---|
| 국소 | 76.2% |
| 부위 | 64.9% |
| 원격 | 35% |
그러나 이 수치들은 통계 결과로서 전반적인 현상에 대해 보여 주는 것이므로 개개인에 따라 다를 수 있습니다.