침샘은 3쌍의 주타액선인 이하선, 악하선, 설하선과 소타액선으로 구성되어 있습니다. 각각의 침샘은 분비관을 통해 구강내로 침을 배출합니다. 침은 음식물을 씹을 때 음식물의 유화와 윤활작용에 중요하며, 아밀라제에 의한 기초적인 소화에도 관여를 합니다.
침샘암이란 주타액선, 소타액선을 막론하고 침샘에서 발생하는 악성종양을 의미합니다. 침샘암의 악성도에 따른 분류는 다음과 같습니다. 저악성도에 속하는 암종으로는 저악성도 점액표피양암종, 선방세포암종, 저악성도 선암종이 있고, 고악성도에 속하는 암종으로는 고악성도 점액표피양암종, 선양낭성암종, 고악성도 선암종, 편평상피세포암종, 미분화암종, 전이암 등이 있습니다.
침샘에는 다양한 암종이 있고 발병원인에 대해서도 확실히 알려진 것은 없습니다. 가능성 있는 원인으로서는 방사선에 노출된 경력이 있는 경우, 바이러스(EBV)와의 관련, 직업적으로 규사분진에 노출된 경우 및 유전적 소인 등이 일부 알려져 있습니다.
침샘의 종괴 중 악성을 의심해야 하는 경우는 안면신경마비가 발생하거나, 동측 혀의 마비 혹은 감각이상이 있을 때, 통증을 동반하는 경우, 종괴가 주변구조물이나 피부에 고정되어 있는 경우, 주변 림프절이 만져지는 경우 등입니다.
침샘의 종물이 만져지면 정확한 진단과 악성유무를 확인하기 위해 세침흡인검사, 절개생검 등의 조직검사를 시행합니다. 그리고 전산화단층촬영(CT)이나 자기공명영상(MRI), 그리고 전이여부를 알기 위해 양전자방출단층촬영(PET)를 이용한 영상진단을 통해 종괴의 정확한 위치와 진행 정도를 파악하여 정확한 수술방법을 결정 합니다.
절제 가능한 타액선 암종은 수술적 치료가 일차적인 치료방법이 되며 절제가 불가능한 암종은 방사선치료나 항암치료를 시행하게 됩니다. 또한 수술이 효과적으로 시행되었다 하더라도, 종양이 심엽내에 있었거나, 재발한 경우, 악성도가 고도인 경우, 종양이 신경, 뼈, 골막, 연조직으로 침범되었던 경우, 경부전이가 확인된 경우에는 수술 후 방사선 치료를 추가하는 것이 일반적입니다.
이하선 종양의 수술 시 20~60%에서 안면신경의 일시적인 마비가, 2~5%에서 영구적인 마비가 나타날 수 있으며, 미용적 문제가 발생할 수 있습니다. 수술 후 남아있는 침샘의 일부에서 침의 분비가 계속되어 피하에 침이 고이거나 아물지 않은 창상을 통해 계속 흐르는 타액루 증상이 나타날 수 있습니다. 또한 방사선 치료 등으로 침 분비가 저하된 경우 구강건조증이 발생 할 수 있습니다.
선양낭성암종의 경우 신경을 따라 국소재발 하는 경향이 높으며, 치료 후 장기간이 지난 후에도 원격전이가 나타나기도 합니다. 원격전이의 빈도는 폐전이가 가장 높으며, 뼈, 내장, 뇌 등으로도 전이될 수 있는 것으로 알려져 있습니다.
침샘은 3쌍의 주타액선인 이하선, 악하선, 설하선과 소타액선으로 구성되어 있습니다. 귀의 앞쪽, 아래쪽(전하방)에 위치한 이하선은 주타액선 중 부피가 가장 커서 크기는 5.8 x 3.4 cm, 무게는 14-28g 정도입니다. 턱밑에 위치한 악하선의 무게는 10-15g 정도이며, 주타액선 중에서 가장 작은 크기의 설하선은 구강저의 점막 바로 아래에 위치하며 무게는 2g 정도입니다.
각각의 침샘은 분비관을 통해 구강내로 침을 배출합니다. 특히 악하선에서 나오는 분비관의 경우, 침의 배출방향이 중력에 역행하고 길이가 길기 때문에 돌(타석)이 잘 생기는 것으로 알려져 있습니다.
소타액선은 입술, 혀, 연구개, 경구개, 구강협부, 인두벽 등의 점막에 골고루 분포하며 각 선은 분리된 작은 관을 가지고 있어 상부기도소화관으로 직접 개구하게 됩니다.

[ 3쌍의 주타액선과 구강내 개구부 ]
침샘종양이 가장 많이 발생하는 이하선의 경우, 중추신경계로부터 나온 안면신경이 침샘의 중앙을 가로질러 안면근육으로 들어가게 됩니다. 편의상 안면신경을 기준으로 바깥쪽을 이하선 천엽, 안쪽을 이하선 심엽이라고 부르기도 합니다. 안면신경은 안면에 분포하는 작고 정교한 근육들의 움직임을 조절하는 신경으로써, 얼굴의 표정을 나타내는 데 가장 중요한 역할을 합니다. 따라서 이하선악성종양의 경우 병이 진행되면 안면신경마비가 나타날 수 있으며 수술적 치료시 신경이 손상되는 경우에도 안면근육운동의 장애가 나타날 수 있습니다.

[ 이하선과 안면신경과의 관계 ]
침샘의 주요한 기능은 침(타액)의 생성이며 정상적으로 하루에 약 1-1.5리터가 만들어집니다. 침은 음식물을 씹을 때 음식물의 유화와 윤활작용에 중요하며, 아밀라제에 의한 기초적인 소화에도 관여를 합니다. 또한 미각을 전달하고 항균물질을 분비하여, 구강위생뿐만 아니라 인체 전신의 방어기전에도 중요하며, 발성시에도 음성을 부드럽게 내는 데 중요한 윤활작용을 합니다. 하루에 분비되는 침의 양은 악하선에서 나오는 것이 약 70%로 가장 많으나, 식사 등 자극을 주면 이하선에서의 분비량이 늘어나는 것으로 알려져 있습니다. 또한 분비되는 침의 점도는 악하선에서 나오는 것이 가장 높다고 알려져 있습니다.
침샘암이란 주타액선, 소타액선을 막론하고 침샘에서 발생하는 악성종양을 의미합니다. 따라서 종괴는 주타액선이 있는 곳뿐만 아니라, 소타액선들이 분포하는 부비동, 구강점막, 후두, 부인강 등 상부기도소화관의 어디에서도 나타날 수 있습니다.
대부분의 주타액선 종양은 서서히 자라는 종물로 나타나며, 보통 국한적이며 겉에서 만졌을때 잘 움직입니다. 종괴의 크기가 갑자기 커지는 경우에는 감염이나 낭종성병변, 종양내 출혈, 악성변화 등이 원인입니다. 원발부위가 주타액선이 아닌 경우는 침샘의 위치에 따라 다양한 증상이 나타날 수 있습니다. 즉 이하선 심엽이나 부인강의 소타액선에서 기원한 종괴인 경우에는 편도를 내측으로 전위시켜 편도암을 의심하게 할 수도 있으며, 비부비동의 소타액선기원인 경우에는 코막힘과 코피 등의 증상으로 나타나기도 합니다.
종괴중 침샘암, 즉 악성을 의심해야 하는 경우는 안면신경마비가 발생하거나, 동측 혀의 마비 혹은 감각이상이 있을때, 통증을 동반하는 경우, 종괴가 주변구조물이나 피부에 고정되어 있는 경우, 주변 림프절이 만져지는 경우 등입니다. 그러나 악성이라 하더라도 단지 종괴로만 나타날 수 있으므로 치료전 세침흡인검사 등의 조직검사를 거쳐 악성의 여부를 판단해야 하며, 이것도 여의치 않을 경우에는 수술 도중 동결절편 검사를 통해 확인하는 방법도 있습니다.

[ 좌측 이하선종양에 의한 동측 안면마비로 악성을 시사하는 소견 ]

[ 우측이하선에 발생한 진행암 ]
[사진설명]우측이하선에 발생한 진행암으로 안면신경의 마비와 피부의 침범소견을 볼 수 있습니다.

[ 침샘종양의 영상검사소견 ]
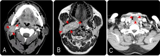
[사진설명] 다양한 양상으로 나타나는 침샘종양, (A) 우측이하선 심엽에 발생한 침샘암, (B) 우측 부인강에 발생한 거대한 양성 침샘종양, (C) 기도에 발생하여 호흡곤란을 일으킨 침샘암 (소타액선암)
침샘에 종물이 만져지면 정확한 진단과 악성유무를 확인하기 위해 조직검사가 가장 중요합니다. 검사방법으로는 세침흡인세포검사, 절개생검, 수술 중의 동결절편 그리고 수술 후 절제한 조직의 병리조직학적 검사 등이 있습니다. 침샘암의 다양성과 복잡함으로 인해 수술 후 조직검사를 제외하고는 모두 정확성에 한계가 있는 방법들이며, 수술 전 진단이 수술 후에 바뀌는 경우도 있을 수 있으므로 반드시 임상적인 증상 등을 고려하여 판단하여야 합니다.
시행하기 간편하고 비교적 안전한 검사이기 때문에 일차검사로 이용됩니다. 민감하고 용이한 방법이나 위음성, 위양성의 가능성이 있으며, 종양의 정확한 아형을 진단하는 데는 한계가 있습니다. 최근에는 초음파 유도 하에 의심되는 부위를 선별하여 좀더 많은 조직을 덩어리째 얻는 중심 생검도 많이 이용되고 있습니다.
확정적인 치료 전, 조직을 정확히 알아야 되는 경우에 가장 믿을 만한 방법입니다. 하지만 절개에 의해 종양이 번질 위험이 있으므로 악성림프종이 의심되는 경우 등에서 제한적으로 사용되고 있습니다.
수술 중 시행하게 되며 유용성에는 많은 논란이 있습니다. 알려진 정확도는 85% 정도이고, 약 5%에서는 악성과 양성의 구별에 실패하게 됩니다.
최종진단에 해당되며 최근에는 여러 가지 특수 면역염색검사를 통해 좀더 세분화되고 정확한 진단을 가능하게 해줍니다.
침샘의 종괴가 있을 시, 영상진단을 통해 정확한 위치나 진행 정도를 파악하여 정확한 수술방법을 결정할 수 있게 하며, 종괴의 악성여부를 추정하는 데에도 도움을 줄 수 있습니다. 영상진단에는 전산화단층촬영(CT)과 자기공명영상(MRI)이 주로 사용되며, 간혹 초음파촬영, 방사선동위원소검사가 이용되기도 합니다. 이 중 자기공명영상(MRI)이 가장 정보를 많이 얻을 수 있는 검사이며, 전산화단층촬영(CT)은 양성질환이나 염증성 질환, 석회화 유무, 뼈의 변화 등의 관찰에 도움이 됩니다. 최근에는 다른 부위의 악성종양과 마찬가지로 필요한 경우 전이여부를 판단하기 위해 양전자방출단층촬영(PET-CT)을 시행하기도 합니다.
침샘암의 진행단계는 여타 두경부암과 마찬가지로 원발부위의 크기와 주변침범정도, 경부림프절로의 전이여부, 원격전이의 유무를 모두 고려하여 결정됩니다. 가장 기본이 되는 원발부위에 따른 진행단계를 살펴보면 다음과 같습니다.

[ 침샘암의 진행단계 ]
일반적인 원칙은 침샘의 종괴는 특별한 증상이 없더라도 조기에 철저한 검사와 적절한 수술적 방법으로 제거하여 조직학적으로 확인을 하는 것입니다. 또한 절제가능한 타액선암종은 수술적 치료가 일차적인 치료방법이 되며 절제가 불가능한 암종은 방사선치료나 항암화학요법을 시행하게 됩니다.
이하선의 종괴의 경우, 수술적인 치료로, 안면신경을 확인하고 박리한 후 종괴를 제거하는 이하선 천엽절제술이 가장 많이 사용되는 방법이며, 경우에 따라 심엽을 포함시키는 이하선 전절제술을 시행할 수 있습니다. 악하선의 경우 악하선절개술, 소타액선종양의 경우 발생부위에 따라 적절한 수술 방법을 선택하여 시행합니다. 악성종양에서 경부전이가 발견된 경우나, 경부전이의 위험도가 아주 높은 경우에는 목의 림프절을 예방적, 치료적으로 제거하는 경부청소술을 함께 해주는 것이 원칙입니다.

[ 이하선종양의 수술 ]
종양의 크기와 위치, 종류에 따라 부분절제술 (주로 이하선천엽절제술) (가) 혹은 이하선전절제술 (나)을 시행할 수 있습니다. 대부분의 경우에서 안면신경은 보존합니다.
침샘암의 치료는 원칙적으로 외과적 수술이지만 수술이 효과적으로 시행되었다 하더라도, 종양이 심엽 내에 있었거나 재발한 경우, 악성도가 고도인 경우, 종양이 신경 · 뼈 · 골막 · 연조직으로 침범되었던 경우, 경부전이가 확인된 경우에는 수술 후 방사선 치료를 추가하는 것이 일반적입니다.
또한, 소타액선암에서는 발생부위의 해부학적 및 기능적 특성 때문에 광범위한 절제수술이 환자의 생활에 미치는 영향이 크므로 조기암일 때에는 방사선 치료를 적극 검토할 필요가 있습니다.
항암화학요법은 침샘암의 특징이 다양하므로 그 효과는 매우 한정적입니다. 때로 독소루비신, 5-FU, 메토트렉세이트, 사이클로포스파마이드 및 시스플라틴 등을 단일 또는 복합치료로 사용하여 효과가 있다는 보고가 있지만, 항암화학요법에 대한 효과는 아직 불분명합니다.

[ 침샘암의 일반적인 치료과정 ]
하지만 수술 전에 이미 안면신경마비가 있거나, 악성종양(특히 선양낭성 암종)이 안면신경에 침범된 경우에는 대부분 안면신경의 희생이 불가피합니다. 이 경우 재건이 의미가 있고 가능한 경우에는 절단된 신경을 다시 접합시켜 주거나, 길이가 모자라는 경우에는 다른 부위의 신경을 떼어다가 이식하는 방법 등을 사용합니다. 그러나 이 경우에도 안면근육운동의 회복은 만족스럽지 못한 경우가 대부분입니다.
특히 이하선의 수술 시 가장 중요한 합병증으로 20-60%에서 일시적인 마비가 나타나고 2-5%에서 영구적인 마비가 발생하며, 분지 중에는 입술아래쪽 근육의 운동을 담당하는 하악연 분지에서 가장 많이 발생합니다.
흉터뿐 아니라 종양이 있어서 튀어 나왔던 부분이 제거되면서 오히려 움푹 들어가 보이는 문제가 생기며, 수술 시 이를 방지하기 위해 지방조직이나 근육조직으로 결손을 채워주기도 합니다.
수술부위에 피가 고이는 것으로 수술 후 2-3일 내에 많이 발생하며, 재수술을 해야 하는 가장 흔한 이유가 됩니다.
수술 후 남아있는 침샘의 일부에서 침의 분비가 계속되어 피하에 침이 고이거나 아물지 않은 창상을 통해 계속 흐르는 것을 의미하며 비교적 자주 나타나는 합병증입니다. 대부분 국소처치에 의해 자연적으로 문제가 해결되며 만성적인 문제가 되는 경우는 극히 드뭅니다.
회복과정에서 자율신경의 비정상적인 재생으로 음식의 냄새나 맛에 대해 수술부위의 피부에서 발적과 땀이 나는 현상을 말합니다. 정도의 차이는 있으나 수술 후 약 50%정도에서 발생한다고 알려져 있고, 증상이 경미한 경우에는 특별한 치료가 필요하지 않습니다.
장기적으로 지속되는 합병증으로 헤어드라이어를 이용할 때 귀 뒷부분에 화상을 입을 수 있으니 주의해야 합니다.
방사선 치료 등으로 침 분비가 저하된 경우 구강건조증이 발생할 수 있습니다. 이로 인해 먹고 말하는데 큰 지장이 생기며 인체방어기전에도 문제가 발생하게 됩니다.
방사선 치료의 급성 부작용으로는 가벼운 피부변화 및 오심, 구토, 설사, 피로 등이 나타날 수 있습니다.
항암화학요법의 부작용은 항암제의 종류와 환자 개인에 따라 다르게 나타날 수 있습니다. 암세포는 빠르게 증식하고 분열하는 특징이 있으므로 대부분의 항암제는 빠른 성장을 하는 세포를 죽이도록 만들어졌습니다. 그러나 일부 정상세포 또한 암세포와 같이 빠르게 증식하기 때문에 항암화학요법 시 암세포보다는 덜하지만 손상을 받게 됩니다. 정상세포 중에서도 빨리 분열 · 증식하는 세포, 즉 골수에서 형성된 혈액세포, 구강을 포함한 위장관의 상피세포, 머리카락세포, 그리고 생식세포 등이 많은 영향을 받게 됩니다. 따라서 항암화학요법 후에는 빈혈, 백혈구 및 혈소판 수 감소, 구내염, 오심, 구토, 설사, 탈모, 생식기능 장애 등의 부작용이 생길 수 있습니다. 그러나 대부분의 부작용은 치료가 끝나거나 일정 기간이 지나면 사라지게 됩니다.
침샘암의 수술 후 재발률은 다양하게 보고되고 있습니다. 이하선 종양에 대한 국내의 한 보고에 따르면(1998), 양성종양 82예 중 6예(7%)에서, 악성 종양 12예 중 6예(50%)에서 수술 후 재발이 발생하였다고 보고하였습니다.
선양낭성암종의 경우 신경을 따라 국소재발 하는 경향이 높으며, 치료 후 장기간이 지난 후에도 원격전이가 나타나는 것으로 악명이 높습니다. 원격전이의 빈도는 폐전이가 가장 높으며, 뼈, 내장, 뇌 등으로도 전이될 수 있는 것으로 알려져 있습니다.
침샘암의 예후에 영향을 미치는 가장 중요한 인자는 병기와 조직학적 악성도입니다. 조직학적으로 너무나 다양한 양상을 나타내고 생존율에 대한 데이터가 많지 않기 때문에 일괄적으로 예후를 설명하기는 불가능합니다.
그러나 치료 후의 예후는 일반적으로, 이하선암은 50~80%, 악하선암은 30~50%의 5년 생존율이 보고되고 있습니다. 조직 유형에 따라서는 선방세포암이 예후가 가장 좋아서 75% 이상의 5년 생존율을 나타냅니다. 점액표피양암에서는 악성도가 낮을 경우 76~95%의 5년 생존율을 나타내지만, 악성도가 높으면 30~50%로 5년 생존율이 낮아집니다. 선양낭성암종의 5년 생존율은 50~90%로 좋으나 10년, 15년이 지나면 생존율이 더 낮아지게 되어 15년 생존율은 25% 정도입니다.
선암의 5년 생존율은 76~85%, 10년 생존율은 34~71% 이며, 악성 혼합종의 5년 생존율은 31~65%, 10년 생존율은 23~30%를 보여 비교적 악성도가 높음을 알 수 있습니다.
일반적으로 주타액선암의 경우 크기가 작은 타액선에서 생긴 암종일수록, 재발· 다발성· 완전절제가 불가능한 경우, 안면신경마비가 있는 경우 예후가 불량합니다.