흉막은 흉곽 안의 폐와 종격동, 횡격막, 흉곽 부위의 흉강 내를 덮고 있는 장막으로, 늑막이라고도 합니다.
흉막종양은 흉막에 생기는 종양을 말하며 흉막종양은 원발성 흉막종양과 이차성 또는 전이성 흉막종양으로 나뉩니다. 악성중피종은 주로 흉막에 발생하여 흉막종양으로 알려져 있으나, 중피세포는 흉막 외에도 복막, 고환초막, 심낭막 등에도 존재하므로 흉막암이 아닌 다른 부위의 암종으로 발생할 수 있습니다.
흉막종양 중 악성중피종의 발생 원인으로는 석면에의 노출이 가장 흔하며 전체 원인의 70% 정도를 차지하는 것으로 알려져 있습니다. 그 외 위험인자로는 방사선 치료, 탄소 나노튜브, 바이러스성 암유전자, 이산화토륨, 에리오나이트 등이 있습니다.
현재로서는 석면이 악성중피종의 발생 원인으로 그 연관성이 가장 확실하게 알려져 있으므로 석면에 대한 직업성 또는 환경성 노출을 피하는 것이 악성중피종을 예방하는 방법이 되겠습니다. 또한 흡연이 폐암 및 악성중피종 발생에 석면과 상승 작용이 있으므로, 과거 석면에 노출되었던 사람들은 금연을 하는 것이 필요합니다.
현재 특별히 권장되고 있는 조기검진법은 없습니다.
악성중피종의 가장 흔한 증상은 수개월에 걸쳐 서서히 발생하는 호흡곤란과 흉통입니다. 악성중피종이 진행할수록 체중감소, 마른 기침과 함께 호흡곤란이 악화됩니다. 그 외의 증상으로 발열, 오한, 발한(땀이 많이 나는 증상), 전신 쇠약감 등이 동반될 수 있습니다.
악성중피종은 매우 드문 질환이기 때문에 처음에는 다른 질환으로 오진되기 쉬우며, 정확한 진단과 치료를 위해서는 조직 검사가 꼭 필요합니다. 조직검사를 위해서는 흉수천자, 흉막생검, 흉강경, 개흉술 등이 사용되고 있습니다.
악성중피종에서는 한가지 치료법만으로 좋은 치료 효과를 거둘 수 없습니다. 치료 방법도 단순히 흉수를 조절하기 위해 흉관 삽입 후 흉막유착술을 시행하는 방법에서, 근치적 수술 또는 다방법 병합치료까지 다양합니다. 수술은 신중하게 선별된 환자에서 단독으로 또는 다른 치료법과 같이 사용될 수 있습니다.
근치적 흉막외 폐전절제술은 매우 어려운 수술이기 때문에 아주 숙련된 의사라고 해도 높은 수술 전후 이환율과 사망률이 동반됩니다. 다른 심각한 합병증은 수술 부위를 통한 흉막강으로의 심장 또는 복강장기의 탈장(herniation), 회귀후두신경 손상으로 인한 성대마비, 기관지-흉막강루(bronchopleural fistula), 농흉, 호흡부전 등이 있습니다.
흉막은 흉곽 안의 폐와 종격동, 횡격막, 흉곽 부위의 흉강 내를 덮고 있는 장막으로, 늑막이라고도 합니다. 흉막은 장측 흉막과 벽측 흉막으로 나뉘는데, 장측 흉막은 폐실질을 덮고 있으며, 벽측 흉막은 종격동, 횡격막, 흉곽 내부로 둘러싸인 흉강의 안쪽을 덮고 있습니다.
이 두 막은 주기관지와 폐의 연결 부위인 폐문(hilum) 부위에서 이어지게 되며, 이 두 흉막 사이의 공간을 흉막강이라고 합니다. 정상인에서 흉막강은 실제로는 거의 공간이 없으며 아주 소량의 액체(흉수)가 윤활막과 같은 얇은 막을 형성하고 있어, 폐의 호흡 운동 중에 폐를 싸고 있는 장측 흉막이 흉강을 싸고 있는 벽측 흉막을 따라 부드럽게 움직일 수 있도록 도와주는 역할을 합니다.

[흉막과 주변 구조의 해부학적 그림]
벽측 흉막은 단층의 중피세포로 덮인 성기고 불규칙한 결체조직으로 구성되며, 장측 흉막은 중피세포층과 결체조직층, 두 층으로 구성되어 벽측 흉막보다 더 두껍습니다. 흉막의 중피세포는 여러 중요한 역할을 하는 세포로 흉막을 통한 액체나 각종 입자의 운반과 이동, 면역세포인 백혈구의 이동, 염증 관련 물질의 생성, 섬유소(fibrin)의 생성과 제거 등에 연관되어 있습니다.
전체 흉막 중에 흉곽과 횡격막 부위의 벽측 흉막에만 감각 신경이 존재합니다. 흉곽 그리고 횡격막의 주변부는 늑골 사이 신경(intercostal nerve)이 존재하며, 이 신경이 자극되면 그 주의의 흉벽에 통증을 느끼게 됩니다. 이에 반해 횡격막의 중심부는 횡격막 신경이 존재하며, 이 부위가 자극되면 같은 쪽 어깨에 통증을 느끼게 되는데 이를 연관통(referred pain)이라고 합니다. 장측 흉막에는 감각 신경이 없어 통증을 느끼지 못하므로, 흉막에서 발생하는 흉통은 모두 벽측 흉막의 염증이나 자극에 의한 것입니다.
흉막종양은 흉막에 생기는 종양을 말합니다.
악성중피종은 대개 40-60대에서 발생하며, 이보다 더 이른 나이에 발생하는 경우는 대부분이 소아기에 석면에 노출된 적이 있는 환자입니다.
악성중피종의 가장 흔한 증상은 수개월에 걸쳐 서서히 발생하는 호흡곤란과 흉통입니다. 악성중피종은 처음에는 주로 벽측 흉막에 여러 개의 작은 결절들로 나타나며, 또한 장측 흉막을 침범할 수 있습니다. 종양이 진행함에 따라 이러한 결절들은 뭉쳐져서 벽측 흉막과 장측 흉막을 서로 붙게 만들고, 점점 폐를 둘러싸는 두꺼운 껍질 같은 종양을 만듭니다. 더 진행하게 되면 종양은 전체 폐를 둘러싸고, 폐엽 사이(interlobar fissure) 흉막에도 퍼져갑니다. 이런 종양의 두께는 수 cm에 이를 수 있으며, 그에 비해서 종양 밑의 폐조직으로는 침범하지 않는 것이 특징입니다.
종양이 진행함에 따라 호흡곤란과 흉통이 발생하는데, 종양에 의해 폐가 짜부러들게 되고 이로 인해 혈액이 폐로부터 산소 공급을 받지 못하게 되어(환기-관류 불일치) 호흡곤란, 저산소혈증 등이 발생하게 되는 것입니다. 이런 경우에는 외부에서 산소를 투여하여도 증상이 회복되지 않는 경우도 있습니다. 악성중피종에 나타나는 흉통은 악성중피종이 늑골이나 흉곽 내 다른 장기를 침범할 때 발생하며 대개 침범한 부위 주위에 흉통이 발생합니다. 악성중피종이 횡격막의 중심부를 침범한 경우에는 같은 쪽 어깨에 통증이 발생하는 연관통이 발생할 수 있습니다.
악성중피종이 진행할수록 체중 감소, 마른 기침과 함께 호흡곤란이 악화됩니다. 그 외의 증상으로 발열, 오한, 발한(땀이 많이 나는 증상), 전신 쇠약감 등이 동반될 수 있습니다.
드물게 흉막에만 국한된 악성중피종도 있지만, 악성중피종은 대개 흉벽, 심낭막, 횡격막 등의 인접 장기에 침범합니다. 이런 인접 장기로의 침범은 종양의 초기에도 나타날 수 있으며, 음식을 삼키기 어려운 증상, 쉰 목소리, 척수 압박, 팔로 가는 신경의 압박, 호너 증후군(Horner’s syndrome, 축동(동공이 축소된 상태), 눈꺼풀 처짐, 얼굴에 땀이 안 나는 증상이 특징인 신경학적 상태), 상대정맥 증후군(종양이나 혈전, 염증이나 감염증에 의해 상대정맥이 막혀 호흡곤란, 얼굴의 부종, 팔의 부종 등이 생기는 질환) 등의 합병증이 발생할 수 있으며, 그와 관련된 각종 질환이 발생하고 사망할 수도 있습니다.
악성중피종은 복강 안으로 퍼져 나갈 수도 있는데, 이는 특히 악성중피종에 대해 적극적 치료를 시행하여 장기간 생존한 환자에서 발생하며, 복막에서 발생한 악성중피종처럼 복막을 따라 퍼져 갈 수 있습니다. 이러한 환자에서는 간이나 다른 복강 내 장기로의 침범은 드물지만, 장관이 막히는 것이 가장 흔한 문제입니다.
악성중피종은 간, 폐, 뼈, 부신, 뇌 등으로의 혈행성 전이(피를 타고 암세포가 전이되는 것)가 가능한데, 이들 전이에 따른 각각의 증상이 있을 수 있습니다. 드물게는 아무 증상 없이 다른 이유로 시행한 흉부 방사선 촬영 상 흉수 소견으로 우연히 발견되는 경우도 있습니다.
흉부 검진 상 악성중피종이 있는 쪽 흉벽에 혹이 만져질 수 있으며, 악성중피종이 있는 쪽의 흉곽이 오히려 작아지며 갈비뼈 사이 간격이 좁아지는 것을 관찰할 수 있습니다. 또한 만성 호흡곤란이 있는 환자에서 발생하는 곤봉지(손가락 마지막 마디가 곤봉처럼 동그랗게 되는 것) 소견이 보일 수 있습니다.
악성중피종의 조직학적 아형(subtype)은 크게 상피세포모양, 육종모양, 이 둘의 혼합형 중피종으로 나뉘는데, 이들 아형에 따라 임상 증상이 다르게 나타나기도 합니다. 즉, 상피세포모양과 혼합형 중피종에서는 주로 다량의 흉수가 발생하며, 육종모양 중피종에서는 흉수가 소량이거나 보이지 않는 경우가 많습니다. 또한 상피세포모양 중피종에서는 쇄골 상부나 겨드랑이 림프절 전이가 흔하고, 심낭막, 반대측 흉막, 복막 등으로의 침범이 더 흔한 반면에, 육종모양 중피종에서는 뼈 등 흉곽 외의 다른 장기로의 전이가 더 흔합니다.
종양 자체로 인한 직접적 임상 소견이 아닌, 종양에서 분비되는 대사물질이나 여러 물질에 의한 영향으로 발생하는 임상 소견을 부종양성 증후군이라고 합니다. 악성중피종과 관련된 부종양성 증후군으로는 파종성 혈관내응고증, 이동성 혈전정맥염, 혈소판증가증, 쿰스 양성 용혈성 빈혈, 저혈당증, 고칼슘혈증 등이 발생할 수 있습니다.
석면 노출력이 있는 중년 이상의 환자가 지속적인 흉통과 호흡곤란을 호소하면서 흉부 방사선 촬영 상 한쪽 편에 흉수가 동반되고 흉막이 두꺼워진 소견이 있으면 악성중피종 가능성을 생각해야 합니다.
대부분의 악성중피종은 흉부 방사선 촬영 상 한쪽 편에 대량의 흉수가 있으면서 흉막이 두꺼워진 소견으로 발견됩니다. 95%의 환자에서 한쪽 편에만 악성중피종이 발생하며, 그중 60%가 오른쪽에 발생합니다. 하지만 5%에서는 좌우측 모두에서 악성중피종이 발생하기도 합니다. 대부분 흉수가 동반되나 때때로 흉수는 없으면서 흉막의 종괴나 전반적으로 흉막이 두꺼워진 소견으로만 발견되는 경우도 있습니다.
석면 노출과 관련하여, 환자의 대부분에서 석회화가 동반되거나 동반되지 않은 흉막판(pleural plaque, 흉막이 판 모양으로 두꺼워진 소견)이 관찰되지만, 폐가 망가져 섬유화가 진행된 전형적인 석면폐증의 방사선학적 소견은 단지 20%에서만 관찰됩니다.
흉막 전체에 악성중피종이 발생하면서 폐전체를 감싸게 되면 폐용적이 감소하여 악성중피종이 발생한 쪽으로 종격동의 장기들이 딸려가는 양상을 보일 수 있습니다. 말기에는 심낭막으로 퍼져 심장 음영(heart shadow)이 증가할 수 있고, 이외에도 종괴가 관찰되거나 갈비뼈 손상 소견이 관찰될 수 있습니다.
전산화단층촬영(CT)의 경우 악성중피종의 흉벽, 갈비뼈, 종격동의 구조물로의 침범 여부를 결정하는데 매우 중요합니다. 전산화단층촬영(CT) 상 정상적으로 보여야 하는 종격동 지방조직이 종양 주위에서 관찰되지 않거나 종양이 침범한 것이 확실하게 보이는 경우, 종격동 구조물의 50% 이상을 종양이 감싸고 있는 경우 등은 악성중피종이 종격동으로 침범했음을 시사하는 소견입니다.

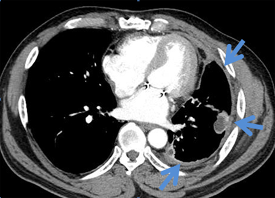
[ 악성중피종의 전산화단층촬영 소견: 좌측폐를 싸고 있는 흉막이 두꺼워져 있는 소견입니다 ]
자기공명영상(MRI)의 경우 수술이 가능할 것으로 예상되는 환자에서 악성중피종의 범위를 더 잘 관찰할 수 있다는 장점 때문에 일부 임상의사들은 전산화단층촬영(CT)에 추가로 시행하는 것을 권유하기도 합니다. 특히 자기공명영상(MRI)의 관상면(coronal image) 영상은 악성중피종이 횡격막을 뚫고 복강 안으로 침범하였는지를 확인하는데 유용할 수 있습니다. 물론 최근에는 전산화단층촬영(CT)의 경우도 관상면 영상을 만들어 낼 수 있습니다.
이 두 검사는 악성중피종의 흉곽 외 전이를 확인하는데 유용한 검사입니다. 특히 양전자방출단층촬영-전산화단층촬영 복합영상(PET-CT)이 전산화단층촬영(CT), 자기공명영상(MRI), 양전자방출단층촬영(PET)과 비교할 때, 2-3기 환자에서 수술이 가능한지를 결정하는데 더 정확하다는 것이 알려져 있습니다. 하지만, 이 두 검사 모두 종격동 림프절 전이 여부를 결정하는 데에는 위양성(실제는 전이 없는데 전이가 있다고 나오는 경우)과 위음성(실제는 전이가 있는데 전이가 없다고 나오는 경우)이 꽤 나오기 때문에 이 결과를 무조건 신뢰할 수는 없습니다.

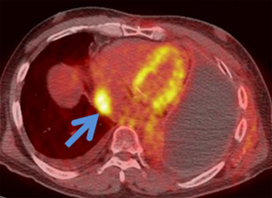
[ 악성중피종의 양전자방출단층촬영-전산화단층촬영 복합영상: 좌측 폐에 대한 악성중피종의 수술적 치료 후 우측 심장부에 연하여 악성중피종이 재발한 소견입니다. 양전자방출단층촬영-전산화단층촬영 복합영상은 전이된 부위를 찾는데 유용합니다 ]
악성중피종 환자의 사체 부검 상 70%에서 종격동 림프절에 전이가 확인됩니다. 최근에는 이러한 종격동 림프절 전이 여부가 악성중피종의 예후에 아주 중요하다는 것이 알려지면서 악성중피종의 병기 결정에 종격동 림프절 전이 여부를 확인하는 것이 일반화되었습니다. 이의 확인을 위해서는 과거에는 수술적 검사로 종격동경을 사용하였으나 최근에는 초음파 기관지내시경을 통한 종격동 림프절 조직 검사가 가능해져서 수술 없이도 간단히 내시경실에서 시행할 수 있게 되었습니다.
목 아래 가슴뼈 위쪽 경계를 따라 3-4cm 절개한 후 종격동경이라는 기구를 넣어 기도(trachea) 및 기관지(bronchus) 주위의 종격동 림프절을 직접 관찰하면서 조직 검사를 시행할 수 있습니다. 직접 관찰하기 때문에 진단 정확도가 높으나 전신 마취를 필요로 하는 수술적 검사입니다.
초음파 기계가 달린 기관지내시경으로 기관지 안으로 들어간 뒤 종격동 림프절을 초음파로 찾고 작은 바늘로 기관지벽을 뚫고 들어가 조직 검사를 하는 방법으로 내시경실에서 국소마취 아래 간단히 시행할 수 있습니다.
이 외에 종격동의 식도와 기관지 침범 여부를 관찰하기 위해 각각 위내시경과 기관지내시경을 시행할 수 있으며, 뇌, 간, 부신, 뼈 전이를 보기 위해 각각의 부위에 대한 검사를 시행할 수 있습니다. 뇌의 경우 자기공명영상(Brain MRI) 또는 전산화단층촬영 (Brain CT)을 사용하며, 간, 부신의 경우 흉부 전산화단층촬영(CT)에 포함되지 않는 경우 복부 전산화단층촬영(CT)이 필요할 수 있으며, 뼈의 경우 뼈 스캔(bone scan) 또는 양전자방출단층촬영(PET) 등을 사용합니다.
악성중피종은 매우 드문 질환이기 때문에 처음에는 다른 질환으로 오진되기 쉬우며, 정확한 진단과 치료를 위해서는 조직 검사가 꼭 필요합니다. 조직 검사를 위해서는 흉수천자, 흉막생검, 흉강경, 개흉술 등이 사용되고 있습니다.
가장 간단한 검사는 흉수 천자입니다. 흉수 천자란 가느다란 바늘로 흉벽을 뚫고 흉막강 안으로 들어가 흉수를 얻어내는 검사로 다른 처치 없이 심지어 그냥 병실에서도 시행할 수 있는 검사입니다. 그렇게 얻은 환자의 흉수에 떠다니는 세포들을 모두 모아서 현미경으로 관찰하여 암세포가 있는지를 확인하게 됩니다. 엄밀히 말하면, 흉수 검사는 세포 검사이지, 조직 검사는 아닙니다.
다음으로 간단한 검사는 흉막 생검입니다. 이 역시 다른 처치 없이 병실에서 시행할 수 있으며, 생검을 위해 특수하게 제작된 바늘로 흉벽을 뚫고 흉막강 안으로 들어간 뒤 흉막 조직을 뜯어내는 검사입니다.
이렇게 흉수 천자나 흉막 생검은 시행 방법은 간편하나 종양 조직을 얻지 못하는 경우가 많고, 얻는다고 해도 워낙 조직이 작아서 악성중피종인지 폐암인지 구별하기 어려운 경우가 많습니다. 설사 어렵게 악성중피종을 진단한다 해도, 치료 방침을 결정하는데 매우 중요한 조직학적 아형까지 구별해 내기는 어렵습니다.

[흉수 천자와 흉막 생검]
수술적 생검은 전신 마취 하에 흉강경을 하는 방법과 이 검사가 여의치 않는 경우 개흉술을 하는 방법이 있습니다. 두 검사법 모두 직접 흉막의 종양을 관찰하면서 조직을 충분히 뜯어내게 되므로 높은 진단율을 보입니다. 프랑스에서 188명의 악성중피종 환자에서의 검사별 진단율을 비교하였는데, 흉수천자는 26%, 흉수 천자와 흉막 생검을 같이 시행한 경우도 39%인데 반해, 흉강경의 진단율은 98%인 것으로 나왔습니다. 물론 이런 수술적 생검은 전신 마취가 필요하므로 수술 관련 합병증이나 사망 사고가 발생할 수 있습니다. 수술적 생검의 경우 악성중피종의 병리학적 소견이 한 명의 환자에서도 다양하게 나타날 수 있으므로 되도록이면 여러 부위에서 생검을 시행하는 것이 좋습니다.
일부 병원에서는 경험이 많은 의사가 수술장이 아닌 내시경실에서 단순한 국소 마취 하에서 흉강경 시술을 시행하기도 하는데, 이를 내과적 흉강경 검사라고 합니다. 이는 수술적 검사에 비해 합병증이나 사망 사고가 매우 적은, 안전하면서도 진단율이 높은 검사입니다.
하지만 이러한 조직 검사를 시행 받은 환자의 10%에서는 조직 검사 부위의 흉벽에 악성중피종이 재발합니다. 이는 바늘이나 흉강경이 들어간 자리, 또는 개흉술 자리에 검사 도중 떨어져 나온 암세포가 달라붙어 있다가 나중에 그 부위에서 계속 자라나 종양을 만드는 것입니다. 이렇게 조직 검사 부위에 재발한 경우에는 그 부위에 방사선 치료를 하게 됩니다. 또한 이러한 재발은 줄이고자 조직 검사 부위에 예방적으로 방사선 치료를 시행할 수 있습니다.

[비디오 흉강경검사(VATS)]
면역조직화학 검사는 세포나 조직 내 특정 항원(단백질, 다당류, 핵산 등)에 대한 특이 항체를 만들어서 이를 조직과 반응시키면 그 조직 내 특정 항원이 존재할 경우 항원-항체 반응이 생긴 것을 현미경으로 확인하는 검사법입니다. 이 검사법은 악성중피종의 진단에 필수적인 검사입니다.
하지만 악성중피종에만 유일한 항원이 따로 존재하지는 않기 때문에, 한 가지 항원에 대해 검사를 하는 것이 아니고 대개 여러 항원에 대해 동시에 검사를 시행합니다. 일반적으로는 민감도(악성중피종을 가진 환자를 악성중피종이라고 진단할 확률)와 특이도(악성중피종이 아닌 환자를 아니라고 진단할 확률)가 모두 80% 이상 되는 검사를 시행하는 것이 권유됩니다. 이러한 검사들은 상피세포모양, 육종모양, 또는 분화가 나쁜 중피종에 따라 다른 종류의 항원들이 검사됩니다.
판싸이토케라틴(Pancytokeratin) 염색은 대부분의 악성중피종에서 양성 소견을 보이므로 진단에 매우 유용합니다. 만약 이 염색에 음성인 경우 림프종, 흑색종(melanoma), 혈관육종, 상피세포모양 혈관내피종 등을 감별할 수 있는 추가적 염색이 필요합니다.
상피세포모양 중피종의 경우 칼레티닌(calretinin), CK5/6, WT1, D2-40 등이 사용됩니다. 가장 중요한 감별 진단 중 하나인 폐선암(lung adenocarcinoma)을 구별하기 위해서 MOC-31, BG8, CEA, B72.3, Ber-EP4, TTF-1, CD15 등이 같이 사용될 수 있습니다. 폐편평세포암(squamous cell carcinoma of lung), 신장암이나 난소암 등의 흉막 전이 등을 구별하기 위해서는 각각에 맞는 검사들을 선택하여야 합니다.
육종모양 또는 혼합형 중피종의 경우 육종과의 감별이 가장 어렵습니다. 왜냐하면 악성중피종 진단에 가장 믿을 만한 면역조직화학 검사인 칼레티닌과 D2-40가 다른 육종에도 양성일 수 있기 때문입니다. 이 경우 싸이토케라틴(cytokeratin) 염색이 강하게 양성이면 악성중피종을 진단할 수 있으나, 부분적으로 약하게 양성인 경우라면 다른 육종과 감별이 어려울 수 있습니다. 따라서, AE1/3, CAM5.2, CK7 등의 다양한 싸이토케라틴 검사가 시행되어야 합니다. 또한 폐육종모양암(sarcomatoid carcinoma of lung)이나 육종모양 신장암의 흉막 전이에서도 싸이토케라틴 염색이 양성일 수 있으므로 이들과의 감별이 어려울 수 있습니다.
과거에는 전자 현미경 소견이 악성중피종의 진단에 가장 중요한 검사였으나 최근 면역조직화학 검사가 발전하면서 이를 대체하였습니다. 분화가 상대적으로 좋은 상피세포모양 중피종의 경우 전형적인 전자 현미경 소견이 있기 때문에 면역조직화학 검사 결과가 애매한 경우에는 아직도 가끔 사용되고 있습니다.
종양표지자란 암세포가 만들어내는 물질들 중 혈액이나 조직, 배설물 등에서 확인되어 암의 진단이나 치료 지표로 사용할 수 있는 물질을 말합니다. 아직까지 혈액 검사로 악성중피종을 진단할 수 있는 검사는 확립된 것은 없습니다. 대신 메조셀린(mesothelin)과 오스테오폰틴(osteopontin) 등이 유망한 종양표지자로 생각되고 있습니다.
메조셀린은 정상적인 중피세포의 표면에 존재하는 당단백질(糖蛋白質)의 중 하나이며, 혈청에서 관찰되는 SMRPs(Soluble mesothelin-related peptides)는 메조셀린의 쪼개진 펩타이드 조각이거나 메조셀린의 비정상적 변종으로 생각됩니다. SMRPs에 대한 연구에서 악성중피종 44명 중 37명(84%)의 환자의 혈청에서 증가되어 있었으며 반면에 다른 양성 또는 악성 폐질환이나 흉막질환환자 160명 중에서는 3명(2%)에서만 증가되어 있었습니다.
52명의 악성중피종 환자와 84명의 양성 흉막 질환 환자의 흉수에서 SMRPs를 측정하였을 때, 이 검사의 악성중피종 진단의 민감도는 67%였고 특이도는 98%였다고 보고되었습니다. 하지만 SMRP는 다른 악성 질환에 의한 흉수나 복수에서 상승할 수 있으며 특히 난소암과 췌장암에서 자주 상승하는 것으로 알려져 있습니다. 따라서 SMRPs가 혈청, 흉수, 복수 등에서 상승하였다고 하여 악성중피종이라고 진단할 수 없으며, 꼭 조직 검사를 시행하여 진단을 하여야 합니다. 대신 SMRPs는 이미 악성중피종이 진단된 환자에서 종양에 대한 치료 중 치료 반응이나 재발 등의 추적 관찰용으로 사용될 수 있습니다.
오스테오폰틴은 세포와 기질(matrix) 사이의 상호작용을 매개하는 당단백질로서 몇몇 종류의 암에서 상승하는 것으로 알려져 있습니다. 악성중피종 환자와 다른 석면 관련 양성 흉막질환을 가진 환자, 과거 석면에 대한 노출이 없던 사람들에서 혈청 오스테오폰틴을 비교한 연구에서 악성중피종 환자군에서의 오스테오폰틴 수치가 다른 두 군에 비해 유의하게 높게 나왔습니다. 또한 흉수에서의 오스테오폰틴 수치 역시 악성중피종 환자에서 높다는 보고가 있었습니다. 하지만 오스테오폰틴이 메조셀린보다는 악성중피종에 대한 진단적 정확도가 더 낮다는 연구결과도 있습니다.
악성중피종의 병기는 우선 영상학적 검사를 토대로 시행하며, 때로는 수술을 통해 더 확실하게 병기를 결정하기도 합니다.
과거에는 Butchart 가 제시한 병기 분류법을 많이 사용하였으나 이는 림프절 전이 여부를 포함하지 않아, 환자의 예후를 예측하는 데 한계가 있어 최근에는 별로 사용하지 않습니다. 대신 최근에는 다른 악성 종양에서 많이 사용하는 TNM 식 병기 분류를 많이 사용합니다. TNM 식 병기 분류란 종양 자체(T), 주위 림프절로의 전이(N), 다른 장기로의 전이(M) 등을 고려하여 결정하는 것입니다.
수술 전에는 우선 영상 검사를 토대로 병기를 결정하나, 상당수의 환자에서 정확한 병기 결정은 수술을 한 뒤에 이루어지는 경우가 많습니다.
|
T 분류 |
N 분류 |
M 분류 |
TNM 병기 |
|
T1 |
N0 |
M0 |
IA |
|
T2 or T3 |
N0 |
M0 |
IB |
|
T1 |
N1 |
M0 |
II |
|
T2 |
N1 |
M0 |
II |
|
T3 |
N1 |
M0 |
IIIA |
|
T1-3 |
N2 |
M0 |
IIIB |
|
T4 |
N 에 무관 |
M0 |
IIIB |
|
T 에 무관 |
N 에 무관 |
M1 |
IV |
|
원발종양 분류: T 병기 |
|
|
T1 |
- 종양이 한쪽 벽측 흉막에 국한 그리고/또는 - 장측/종격동/횡격막 흉막 침범 |
|
T2 |
- 종양이 한측 벽측/장측/종격동/횡격막 흉막 각각을 침범 그리고 - 횡격막 근육 또는 폐실질 침범 |
|
T3 |
국소적 진행종양이나 수술은 가능한 상태
- 종양이 한측 벽측/장측/종격동/횡격막 흉막 각각을 침범 그리고 다음 중 하나 이상 침범 ∙ 흉벽 근막 ∙ 종격동 지방조직 ∙ 흉벽의 연부조직: 단독이면서 완전히 절제 가능한 병변 - 전층이 아닌 심낭막 |
|
T4 |
국소적 진행종양이면서 수술이 불가능한 상태
- 종양이 한측 벽측/장측/종격동/횡격막 흉막 각각을 침범 그리고 다음 중 하나 이상 침범 ∙ 미만성 흉벽 침범 또는 흉벽의 다발성 종양 그리고/또는 늑골파괴 ∙ 횡격막을 넘어 복막강 직접 침범 ∙ 반대측 흉막까지 직접 침범 ∙ 종격동 장기로의 직접 침범 ∙ 척추뼈로의 직접 침범 ∙ 심낭막 안쪽면까지 침범 그리고/또는 심낭삼출 또는 심장근육 침범 |
|
국소 림프선 전이 분류: N 병기 |
|
|
N0 |
- 국소 림프선 전이 없음 |
|
N1 |
- 종양과 같은 쪽 국소 림프선 또는 종격동 림프선 전이 |
|
N2 |
- 종양과 반대편의 종격동 림프선, 또는 같은 쪽이나 반대편의 쇄골상 림프선 전이 |
|
원격전이 분류: M 병기 |
|
|
M0 |
- 원격 전이 없음 |
|
M1 |
- 원격 전이 있음 |
이 종양은 석면 노출과는 관련이 거의 없으며 예후가 좋은 종양으로 양성 중피종이라 불리기도 합니다. 약 70% 정도에서는 장측 흉막에서 발생하며 나머지는 벽측 흉막에서 발생합니다. 종양은 단단하고 피막에 쌓여 있는 양상으로 간혹 폐와 흉벽으로 침범하기도 합니다.
증상으로는 기침, 흉통, 호흡곤란, 발열 등이 있을 수 있으나 반수에서는 아무 증상 없이 흉부방사선 촬영 상 이상 소견으로 발견됩니다. 이 역시 부종양성 증후군으로 저혈당증, 비후성 폐골관절병증 등이 발생할 수 있습니다.
영상 검사 상 흉막에 고립성의 경계가 명확한 종괴 형태로 나타나며, 약 10%에서는 흉수가 동반됩니다. 전산화단층촬영(CT)과 자기공명영상(MRI)이 진단에 도움을 줍니다. 진단은 주로 개흉술을 통해 이루어지며, 치료 역시 수술로 절제해 내는 것입니다. 환자의 10%에서 수술 후 재발할 수 있어 수술 후에도 정기적 추적 관찰이 필요합니다.
비호지킨 림프종의 한 형태로서, 종괴를 이루지 않고 흉강 내에서 흉수를 만들면서 그 안에서 자라는 드문 악성 종양입니다. 흔히 바이러스 감염(human herpes virus-8, Kaposi’s sarcoma associated herpes virus)과 관련이 있으며 또한 후천성 면역결핍증 환자(AIDS)에서 잘 발생하는 것으로 알려져 있습니다.
진단은 흉수 검사에서 림프종 세포를 확인하면 가능하고, 아직 이 질환에 대한 적절한 치료법은 확립되어 있지 않은 상태로 예후는 매우 나빠서 환자들의 평균 생존 기간은 약 4-6개월 정도입니다.
일본에서 보고된 질환으로 수십 년 전 결핵성 흉막염으로 인공 기흉(人工氣胸) 치료를 받은 환자에서 주로 발생하며, 역시 바이러스 감염(Epstein-Barr virus)와 관련이 있을 것으로 생각됩니다.
흉통, 기침, 객담, 발열, 호흡곤란 등이 생기며, 남자에서 5배 정도 더 많이 발생합니다. 대부분 흉부 전산화단층촬영(CT) 상에 흉수를 동반하지 않는 흉막의 종괴로 관찰됩니다. 치료는 주로 방사선 치료가 시행되며, 수술이 가능한 경우 흉막외 폐전절제술을 시행할 수도 있습니다. 항암화학요법에 대한 반응은 그리 좋지 않습니다.
![]() [근치적 흉막외 폐전절제술] |
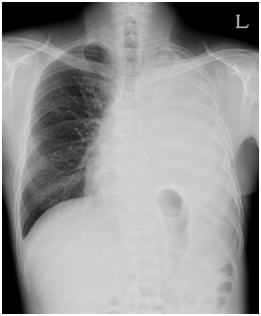
![]() [흉막외 전폐절제술을 시행 받은 환자의 흉부 방사선 사진] |
* 흉막외 전폐절제술을 시행 받은 환자의 흉부 방사선 사진 : 좌측 흉막외 전폐절제술을 시행 받아 좌측 폐가 없음.
악성중피종은 방사선치료에 잘 반응하는 종양이지만, 전체 흉곽을 치료해야 하기 때문에 심장, 폐, 식도, 간, 척수 등에 방사선 부작용을 일으킬 수 있어 그 용량이 제한될 수밖에 없습니다. 따라서 전체 흉막을 포함하는 치료를 하기는 어렵지만, 방사선 치료로 50% 환자가 증상의 호전을 보입니다. 방사선치료 종류 중 하나인 강도 조절 방사선치료(intensity modulated radiation therapy, IMRT)의 경우 이론적으로는 폐에 나타날 수 있는 부작용을 줄이면서 국소적 치료반응을 높일 수 있는 치료법입니다.
방사선치료 역시 고용량의 치료 후 장기간 생존하는 경우들이 보고되고는 있으나, 대부분의 연구에서 환자의 생존 기간 연장에 큰 영향을 미치지는 못하는 것으로 나왔습니다.
보조적 방사선치료란 수술 후 방사선치료를 추가적으로 시행하는 방법으로 흉벽의 재발 방지와 수술 후 생존율 증가를 위해 시행되어 왔습니다.
수술한 부위의 흉벽에 악성중피종이 재발하는 것을 예방하기 위해 흉강경 및 개흉술 후 방사선치료를 시행한 세 개의 무작위 배정 연구에서 총 79명이 관찰되었는데, 수술 부위에 재발이 거의 발생하지 않아 수술 후 수술 부위에 방사선치료를 하는 것이 악성중피종 재발을 예방할 수 있는지에 대한 명확한 결론을 낼 수 없었습니다.
무작위 배정 연구가 시행된 적이 없다고 해도 보조적 방사선치료는 근치적 수술 후 주로 사용되어 왔습니다. 흉막제거술 후 추가로 방사선치료를 시행한 123명의 환자에서 생존 기간의 중앙값은 14개월이었으며, 23%의 환자가 2년 이상을 생존하였습니다. 이러한 효과는 추가적 방사선 치료 없이 흉막제거술만 시행한 환자의 생존기간과 그리 차이가 나지 않습니다.
100명의 악성중피종 환자에 대한 한 관찰 연구에서 흉막외 폐전절제술 후 강도 조절 방사선치료(IMRT)를 시행하는 것은 환자가 잘 견뎌내며, 일반적 방사선치료보다 더 효과적인 것으로 나왔습니다. 하지만 또 다른 연구에서는 강도 조절 방사선치료(IMRT)가 13명 중 6명에서 생명을 위협할 정도의 방사선 폐렴이 발생하는 등, 심한 부작용이 있음을 보고하였습니다.
악성중피종이 수술이나 방사선 치료를 통해 국소적으로 조절될 수 있다고 해도 대부분의 환자에서는 언젠가 다른 장기에 전이가 발생하게 됩니다. 시스플라틴(cisplatin)과 페메트렉시드(pemetrexed) 등의 악성중피종에 효과가 있는 항암제가 사용 가능하게 되면서 항암화학요법 역시 다방법 병합치료의 일원이 되었습니다.
항암화학요법은 수술 전에 사용되거나 또는 수술 후에 보조적 치료로 사용될 수 있습니다. 또한 수술 중 국소적 종양 조절을 위해 흉강으로 직접 투여하기도 합니다.
미국에서 한 연구에서 근치적 흉막외 폐전절제술로 수술 받은 183명의 환자들에 대해 보조적 방사선치료와 보조적 항암화학요법(doxorubicin, cyclophosphamide, cisplatin)을 4-6주기 시행하였을 때, 환자의 추적관찰 기간의 중앙값이 13개월이었고, 2년 생존율이 36%이고 5년 생존율이 14%였습니다. 이들 환자들에서 더 좋은 예후를 보이는 인자로 조직학적으로 상피세포모양 중피종인 경우, 수술로 종양이 완전히 제거된 경우, 흉막외 림프절 전이가 없는 경우 등이 확인되었습니다.
미국에서 근치적 흉막외 폐전절제술 또는 방사선치료 전에 항암화학요법을 시행하는 임상 2상 연구(약제의 적절한 용량, 독성 여부를 확인하는 연구)를 시행하였는데, 77명의 1기, 2기, 3기의 악성중피종 환자에서 57명(74%)의 환자만이 총4주기의 항암화학요법(pemetrexed + cisplatin)을 다 시행받고 수술을 받았고, 이중 54명에서 근치적 흉막외 폐전절제술이 시행되었습니다. 방사선 치료는 44명에서 시작하여 40명에서 치료를 마칠 수 있었습니다. 이들 모든 치료를 완전히 마친 환자들의 생존 기간의 중앙값은 29개월이었고, 2년 생존율은 61%이었습니다.
또 하나의 60명의 악성중피종 환자에 대한 연구에서 조직학적으로 상피세포모양 중피종이고 3가지 다방법 병합치료(수술전 항암화학요법 + 흉막외 폐전절제술 + 방사선치료)를 완전히 시행 받았으면서, 림프절 전이가 없는 환자의 경우, 생존기간의 중앙값은 59개월이나 되었습니다. 하지만 3가지 치료를 완료하지 못한 환자의 경우 생존기간의 중앙값은 14개월 미만이었습니다.
수술 중 흉강 내에 항암제를 투여하는 치료는 악성중피종의 국소적 조절을 위해 사용되어 왔습니다. 92명의 환자에서 시스플라틴(cisplatin)을 근치적 흉막외 폐전절제술 후 흉강 내로 주입하는 치료를 시행하였을 때 재발은 47명(51%)의 환자에서 발생하였는데, 이중 수술한 쪽에서 재발한 경우는 16명(17%)이었습니다. 하지만 이 연구에서 환자 선정에 선택편향(selection bias)이 있었을 수 있으며, 또한 무작위 배정 연구로 확인된 것이 아니기 때문에 이 치료법의 유용성을 정확히 결론 내릴 수 없습니다. 따라서 이러한 다방법 병합치료는 악성중피종 치료에 경험이 많은 병원에서 임상 연구로 사용할 수 있습니다.
악성중피종의 림프절 전이와 다른 장기에의 전이는 근치적 흉막외 폐전절제술의 성공 여부에 매우 중요하다는 것이 잘 알려져 있기 때문에, 다방법 병합치료를 고려하고 있는 모든 환자에서는 이들 전이 여부를 확실히 확인해야 합니다. 따라서 종격동과 횡격막의 침범 여부를 시상면 영상(sagittal image)을 포함한 전산화단층촬영(CT) 또는 자기공명영상(MRI)과 양전자방출단층촬영(PET)을 통해 확인해야 합니다. 또한 종격동 림프절 전이 여부는 종격동경 또는 초음파 기관지내시경을 사용한 세침흡인술로 확인하며, 복강 내의 종양의 침범 여부는 복강경을 사용하여 확인할 수 있습니다.
폐기능이 나쁜 환자는 수술이 가능한지 확인하기 위해 폐기능검사, 폐 환기-관류 스캔을 확인해야 합니다. 또한 심장초음파 검사를 통해 종양이 종격동을 침범하였는지 확인하고, 항암치료 전에 항암제의 심장 독성을 고려하여 심장의 좌심실 기능을 확인하여야 합니다. 수술과 연관된 사망률이 굉장히 높으므로 다른 조건이 수술이 가능한 상황이라도 고령이라면 수술을 피하는 것이 오히려 좋을 수 있습니다.
비(非)상피세포 모양 중피종에는 니볼루맙(Nivolumab)과 이필리무맙(ipilimumab)를 같이 사용하고 상피세포 모양 중피종에는 페메트렉시드(pemetrexed)와 시스플라틴(cisplatin)를 같이 사용합니다. 그 외에 기존 항암제 외에 베바시주맙(Bevacizumab) 펨브롤리주맙(Pembrolizumab) 같은 여러 표적 항암제 등이 시도되고 있습니다.
악성중피종의 흉막에 국한되는 점, 흉막강으로의 쉬운 접근성, 악성중피종의 자연 경과 상 한참 지나서야 다른 장기로의 전이가 발생하는 점 때문에 흉강 안에 국한된 여러 다른 치료법이 시험되고 있습니다. 예를 들면, 증식이 불가능한 재조합 아데노 바이러스 (adenovirus)를 흉강 안으로 주입하여 다른 바이러스의 특정 효소 유전자(예; herpes simplex virus thymidine kinase gene)를 종양 세포에 삽입하도록 하면, 종양이 항바이러스 제제(예:ganciclovir)에 반응하여 죽게 됩니다. 또 종양에 대한 면역력을 증강시키기 위해 human type I interferon-α 또는 β 유전자를 삽입하기도 합니다. 여러 연구들이 이런 치료가 유망함을 보여주었으며, 종양에 대한 상당한 면역 증강을 유발할 수 있다는 것을 제시하였습니다.
이 밖에 증상 완화를 위한 치료로, 호흡곤란에 대해서는 산소와 아편제제를 투여할 수 있으며, 통증에 대해서는 진통제나 해당 부위의 신경 전달을 차단하는 경피적 경부척수시상로 절단술을 시행하기도 합니다.
이 수술법은 방법 상 매우 어렵고, 또한 아주 숙련된 의사라도 해도 높은 수술 전후 이환율과 사망률이 동반됩니다. 미국의 한 연구에서 328명의 근치적 흉막외 폐전절제술을 시행 받은 악성중피종 환자를 조사한 결과, 전체 합병증 빈도는 60%나 되었습니다. 부정맥 중 하나인 심방세동이 가장 흔한 수술 후 합병증으로 예방적으로 항부정맥약제을 사용하였는데도, 환자의 40%에서 발생하였습니다.
다른 심각한 합병증은 수술 부위를 통한 흉막강으로의 심장 또는 복강장기의 탈장(herniation), 회귀후두신경 손상으로 인한 성대마비, 기관지-흉막강루(bronchopleural fistula), 농흉, 호흡부전 등이 있을 수 있습니다. 수술 중 세심한 주의를 기울이는 것이 이환율과 사망률을 줄일 수 있는데, 아주 숙련된 의사라고 해도 수술 후 사망률은 4% 정도나 됩니다.
악성중피종의 예후를 예측할 수 있는 인자들 중 진단 당시 혈액검사 상 혈소판이나 백혈구가 증가하거나 빈혈이 있는 경우, 특별한 원인이 없는 발열이 동반되는 경우, 조직학적으로 육종모양 또는 혼합형 중피종인 경우, 65세 이상인 경우, 전신상태가 안 좋은 경우, 남자 환자인 경우가 환자의 예후가 좋지 않음을 나타냅니다. 반대로, 진단 당시 조직학적으로 상피세포모양 중피종, 병기 I기, 65세 미만, 전신 상태가 좋은 경우, 흉통이 없는 경우, 진단 전에 6개월 이상 증상이 있는 경우는 예후가 좋은 것으로 알려져 있습니다.
이들 예후 예측인자들을 정량화하고자 한 시도들이 있어왔는데, 그중에 the Cancer and Leukemia Group B(CALGB) 지수와 European Organisation for Research and Treatment of Cancer(EORTC) 지수가 주로 사용되고 있습니다.
CALGB 지수는 10년 이상의 연구 기간 동안 337명의 진행된 악성중피종으로 항암치료를 받은 환자들에서, 생존율에 영향을 미치는 인자들을 평가하였는데, 복막이나 심낭막에 비해 흉막의 중피종인 경우, 혈청 유산 탈수소효소(LDH) 수치가 500IU/L 이상인 경우, 전신 상태가 안 좋은 경우, 흉통, 혈소판 수치가 400,000/μL 이상인 경우, 조직학적으로 상피세포모양 중피종이 아닌 경우, 75세 이상인 경우 생존기간이 짧은 것으로 확인되었습니다. 이 환자들에서의 생존 기간의 중앙값(median value, 전체 환자들의 생존 기간을 순서대로 나열하였을 때 중앙에 위치하는 값)은 7개월이었습니다.
EORTC 지수는 9년 이상의 연구 기간 동안 204명의 악성중피종 환자를 분석하여, 전신상태가 안 좋은 경우, 백혈구 수 증가, 남자, 조직학적으로 육종모양 중피종, 조직학적 진단의 확실성 등이 나쁜 예후와 관련됨을 확인하였고, 이들 5가지 인자들을 고려하여 예후가 안 좋은 그룹과 예후가 좋은 그룹으로 나누어 보았을 때 1년 생존율(치료 1년째 전체 환자 중 생존해 있는 환자의 비율)이 각각 12%와 40%로 나와 유의한 차이를 보였습니다. 이 연구에서는 전체 환자의 생존 기간의 중앙값은 8.4개월이었습니다.
대부분의 환자는 악성중피종의 국소적 진행과 호흡부전으로 사망하게 됩니다. 악성중피종이 복강 안으로의 진행되는 경우 소장 폐쇄로 인해 사망할 수 있으며, 심장 또는 심낭막으로의 침범하는 경우에는 부정맥, 심부전, 뇌졸중 등으로 사망할 수 있습니다.
현재 가능한 치료법으로 높은 치료 효과를 바라기는 어려워 악성중피종 환자의 생존 기간의 중앙값은 6개월에서 18개월 사이로 매우 예후가 좋지 않은 종양 중 하나입니다. 흉곽의 일부에 국한된 악성중피종을 가진 환자의 경우 적극적인 다방법 병합치료(multimodality therapy)를 받은 후에 일부에서 장기간 생존을 하는 경우도 있습니다.