부신은 신장과 함께 후복막에 위치해 있으며, 신장 주변에는 신주위 지방층이 존재하는데 부신도 그 지방층 안에 위치해 있습니다.
부신암이란 부신에서 발생한 악성종양을 말합니다. 부신종양은 양성과 악성으로 나눌 수 있으며 양성 종양을 흔히 부신선종이라고 합니다.
대부분의 부신피질암은 산발적으로 발생하지만, 일부에서는 유전적 결함으로 인해 유발되기도 합니다. 또한 고지방식이, 흡연, 신체활동 부족, 환경에서의 발암물질에의 노출 등이 부신암의 발생을 증가시킨다는 연구결과가 있습니다.
부신암 중 40%는 호르몬을 분비하지 않는 비기능성 암으로 이 경우, 초기에는 특별한 증상이 없을 수 있습니다. 부신암 중 60%는 기능성 암으로 달덩이 같은 얼굴, 복부 중심 비만, 부종, 여드름 등의 쿠싱 증후군이라고 부르는 질환과 비슷한 증상들을 나타냅니다. 어느 정도 진행이 된 경우에는 암의 주변 장기로의 침윤이나 다른 장기로의 전이 등으로 인한 증상이 발생할 수 있습니다.
부신에 대한 영상학적 이미지를 얻기 위한 방법으로 초음파, 전산화단층촬영(CT) 또는 자기공명영상(MRI)이 주로 시행됩니다. 또한 뼈스캔(Bone Scan), MIBG스캔, 양전자방출단층촬영(PET)도 이용됩니다. 영상학적 검사 외에도 부신암이 의심되거나 확인된 경우 호르몬 상태를 확인하기 위하여 혈중 혹은 소변의 호르몬을 측정하거나 분비 억제검사를 합니다. 조직학적으로는 정상 부신 세포와 비슷하나 기능상 자율성을 가진 부신피질세포의 양성 신생물인 부신 선종과 감별해야 합니다.
부신암이 부신 내에 국한되어 있는 경우에는 부신의 완전한 수술적 절제를 통해서 암으로부터 완치될 수 있으며, 암에 의한 비정상적인 호르몬 분비가 교정되어 몸의 균형을 다시 찾을 수 있습니다. 그러나 암이 더욱 진행하여 수술로써 완전히 제거가 어려운 림프절까지 전이가 되어 있거나, 복막에 파종이 되었거나, 간, 폐, 뼈 등 다른 장기로 전이가 있는 경우는 병이 이미 전신에 퍼져 있는 것으로, 국소적인 치료방법인 수술은 큰 의미가 없게 됩니다. 이러한 경우에는 전신에 퍼진 모든 암에 효과를 미칠 수 있는 전신적인 치료(항암화학요법 등)가 필요 합니다.
부신절제 수술 중과 수술 후에는 주변 장기 손상, 출혈, 기흉, 호르몬 불균형, 무기폐와 폐렴, 복강내 농양, 장유착과 장폐색, 상처 감염 혹은 장액종 등의 합병증이 생길 수 있으며, 부신암의 항암화학요법에 쓰이는 약물인 마이토탄의 부작용으로 위장관 독성(식욕부진, 오심, 구토, 설사), 신경근육 독성(우울증, 현기증, 진전, 두통, 혼돈, 쇠약감), 피부발진 등이 생길 수 있습니다.
부신암은 악성도가 매우 높아서 주변조직으로 국소적인 침윤을 통해 진행하거나 암세포가 혈액을 타고 다니다가 다른 장기로 전이가 빈번하게 발생합니다. 일반적으로 수술 후 첫 3년은 3개월마다, 3~5년은 6개월마다 그리고 수술 후 5년이 지나면 매년 외래 방문을 통하여 불편한 증상이 없는지 보고, 진찰, 검사 등을 하게 됩니다.
부신은 신장의 위쪽 안쪽에 모자처럼 얹혀 있는 내분비기관입니다. 사람은 좌우 양쪽에 두 개의 신장을 가지고 있고, 부신도 양쪽 신장의 위쪽 안쪽에 하나씩 존재합니다. 부신은 신장과 함께 후복막에 위치해 있으며, 신장 주변에는 신주위 지방층이 존재하는데 부신도 그 지방층 안에 위치해 있습니다.
부신과 인접해 있는 장기들을 살펴보면, 오른쪽 부신의 경우 앞면은 간과 하대정맥, 뒷면은 횡격막, 아래면은 오른쪽 신장과 접해 있습니다. 왼쪽 부신의 경우 내측은 대동맥과 인접해 있으며, 앞면의 위쪽은 위, 앞면의 아래쪽은 췌장, 아래면은 왼쪽 콩팥과 접해있으며, 윗면은 비장, 뒷면은 횡격막에 접해 있습니다.

[ 부신의 위치와 구조 ]
오른쪽 부신은 삼각형 모양이며, 왼쪽 부신은 반원형에 가까운 모양을 보이는데, 부신은 콩팥과 함께 콩팥을 둘러싸고 있는 신주위근막(제로타근막)에 싸여 있습니다. 한쪽 부신의 무게는 약 5g, 크기는 3-5cm 정도입니다.
부신은 발생학적으로 서로 기원이 다른 바깥쪽의 피질과 안쪽의 수질로 이루어져 있습니다. 피질은 중배엽성이며, 수질은 외배엽성으로 신경능선 조직에서 발생하는 교감신경기관입니다.
부신은 하부늑막동맥, 대동맥, 신동맥 등의 분지에서 동맥혈을 공급받으며, 우측 부신은 직접 하대정맥으로, 좌측 부신은 좌측 신정맥으로 정맥혈을 내보내게 됩니다.
부신은 인간이 환경에 적응하면서 살아가는데 매우 중요한 역할을 합니다. 부신은 크게 안쪽의 수질과 바깥쪽의 피질로 나누고 피질은 다시 세 부분으로 구분됩니다. 이렇게 구분하는 것은 각 부위에 따라 분비하는 호르몬이 다르고, 그 역할도 다르기 때문입니다.
아드레날린이라고 하는 호르몬인 에피네프린, 노에피네프린, 그리고 소량의 도파민이 분비되는 분비되는 부위로, 이러한 호르몬은 어떤 긴급한 상황에 대처하는 호르몬이라고 할 수 있습니다. 긴급한 상황이 발생하면 우리 몸의 중요 부위에 빠르게 에너지의 공급이 이루어져야 합니다. 산소가 많이 필요하게 되므로 기관지가 확장되고 호흡이 빨라지고, 근육들을 공급하는 혈관이 확장됩니다. 또한 심장박동이 빨라지며 심장의 수축력이 증가합니다. 그러므로 부신 수질에서는 부신 피질의 코르티솔과 함께, 극단적인 스트레스를 이기기 위하여 꼭 필요한 아드레날린이 분비됩니다.
가장 바깥쪽에 위치하며, 염류 코르티코이드인 알도스테론을 분비합니다. 알도스테론은 염분과 칼륨의 농도를 일정하게 유지하여 인체의 체액이 균형을 유지하도록 조절하는 역할을 합니다. 즉, 혈관과 세포, 혈관과 세포간질에 체액을 일정하게 유지하는 역할을 하므로, 이러한 호르몬이 정상적으로 분비되지 않으면 혈압을 일정하게 유지하는데 문제가 생기게 됩니다.
부신피질에서 가장 큰 면적을 차지하며, 당류 코르티코이드인 코르티솔을 분비하는 부위입니다. 코르티솔은 지방, 단백질, 탄수화물과 같은 영양소를 이용하여 일정하게 혈당을 유지하여, 스트레스를 받고 있을 때 지속적으로 에너지를 생산할 수 있도록 합니다. 코르티솔은 그 외에도 체내에서 과도한 염증이나 백혈구 반응을 조절하고, 심장기능 및 혈압 조절, 뇌신경계의 생리에도 관여하고 있으며, 생리적인 스트레스에 대한 적절한 반응을 가능하게 하는 등 다양하고 중요한 역할을 하고 있습니다.
주로 성호르몬을 분비하는 부위입니다. 원래 성호르몬은 남자는 고환, 여자는 난소에서 분비됩니다. 하지만 실제적으로 활동하는 성호르몬을 생산하고 가공하는 역할은 부신이 맡고 있습니다. 성호르몬의 전구물질인 DHEA와 비활성인 DHEA-s는 모두 부신에서 생산됩니다. 그러므로 혈액이나 타액에서의 DHEA의 농도는 부신기능의 중요한 지표가 될 수 있습니다.
부신의 호르몬 분비는 뇌에 있는 시상하부와 뇌하수체에 의해 조절을 받고 있습니다. 이를 시상하부-뇌하수체-부신 축이라고 합니다. 시상하부는 부신에서 호르몬 분비가 필요할 때는 분비를 자극하고, 분비가 필요 없을 때는 분비를 억제하는 조절의 중추적인 역할을 하고 있습니다. 뇌하수체는 시상하부에서 전해진 신호를 받아, 부신의 호르몬 분비를 자극하는 부신피질자극 호르몬을 합성하여 분비하게 되는데, 부신피질자극 호르몬은 부신에서 코르티솔 등의 부신 호르몬의 분비를 유도하게 됩니다.
또한 우리 몸에서 혈압 및 세포외액 조절의 중추적 역할을 담당하는 당류 코르티코이드인 알도스테론의 분비는 혈중 칼륨수치와 직접적인 관계를 가지며 레닌-안지오텐신-알도스테론 조절 기전에 의해 일차적으로 조절되고 있습니다. 이러한 뇌하수체의 부신피질자극 호르몬과 부신의 코르티솔, 알도스테론은 항상 일정하게 분비되는 것이 아니라 낮과 밤에 따라 분비되는 양식을 가지는 일주기 리듬이 있습니다.

[ 시상하부 - 뇌하수체 - 부신 축 ]

[ 레닌-안지오텐신-알도스테론-시스템 ]
부신 종양 역시 양성과 악성으로 나눌 수 있으며, 양성 종양의 대부분은 부신선종입니다. 이러한 부신선종은 흔히 건강검진이나 다른 질환에 대한 검사를 하는 도중 우연히 발견되는 우연종의 대부분을 차치하며, 실제적으로 부신에서 발생하는 종양 중 가장 흔한 형태는 부신선종입니다. 또한 일반인에게서 발견되는 부신종양의 경우 대부분(70~94%)은 비기능성 종양이며, 기능성 부신 선종의 경우 보고마다 차이가 있기는 하나 갈색세포종이 0~11%, 쿠싱 혹은 잠재적 쿠싱증후군(Subclinical Cushing’s syndrome)이 0~12%, 염류 코르티코이드 종양은 0~7%, 남성화 종양은 0~11%의 빈도입니다.
부신암은 부신에서 발생한 악성종양을 말합니다. 부신암세포는 악성을 시사하는 여러 가지 특성들을 지니고 있으며, 혈관이나 피막을 침윤합니다. 부신암은 다른 암과 마찬가지로 진행하면서 주위 장기로 직접 침범하거나, 암세포가 혈관이나 림프관을 타고 멀리 떨어진 장기로 옮겨가 성장할 수 있습니다. 이는 부신에서 발생하는 다양한 기능성 또는 비기능성 양성 종양들과는 다르며 이들과의 감별이 필요합니다.
부신은 다양한 호르몬을 분비하는 기관이기 때문에, 부신에서 발생한 암은 여러 가지 호르몬을 분비할 수 있는데, 분비되는 호르몬의 종류에 따라 서로 다른 다양한 임상적인 증상들이 나타날 수 있습니다. 부신암 중 21-50%는 호르몬을 분비하지 않는 비기능성 암으로 이 경우, 초기에는 특별한 증상이 없을 수 있으며 건강검진이나 다른 질환에 대한 검사를 하던 중 우연히 발견되는 경우가 많습니다.
부신암 중 50-70%는 어떤 특정한 호르몬을 분비하는 기능성 암으로, 당류 코르티코이드라는 호르몬을 과도하게 분비하는 경우 쿠싱 증후군이라고 부르는 질환과 비슷한 증상들이 나타납니다. 쿠싱 증후군은 달덩이 같은 얼굴, 복부 중심 비만, 부종, 여드름을 비롯하여 고혈압, 당뇨, 근육 위축 등을 일으킬 수 있고 여성의 경우 다모증, 생리불순, 성기능 이상 등이 나타나는 복합적인 증상들을 가지고 있는 증후군입니다. 당류 코르티코이드를 분비하는 부신암의 경우 이러한 단순 쿠싱 증후군 환자들과 임상적인 증상만으로는 구분하기가 어렵습니다. 일부에서는 이러한 증상들과 함께 남성의 경우 여성화되거나 여성의 경우 남성화되는 특징들이 나타나기도 합니다.
부신암이 분비하는 호르몬에 의해서 여러 가지 증상들이 나타날 수도 있지만, 어느 정도 진행이 된 경우에는 암의 주변 장기로의 침윤이나 다른 장기로의 전이 등으로 인한 증상이 발생할 수도 있습니다. 부신암의 크기가 커지고 주변으로 침윤해 들어감에 따라 복부 불쾌감, 팽만감, 동통, 소화불량 등의 증상이 있을 수 있습니다. 암이 림프절을 통해 전이가 발생한 경우 림프절이 손으로 만져질 수 있습니다. 그 밖에 전이된 장기에 따라 그에 따른 특이적인 증상들이 발생할 수 있습니다.
그 외에 암의 진행에 따라 식욕부진, 체중감소, 빈혈 등의 진행성 전신증상이 있을 수 있습니다.
일반적으로 부신암은 영상학적 검사를 통해서 진단할 수 있습니다.
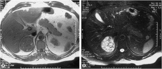
부신에 대한 영상학적 이미지를 얻기 위한 방법으로 초음파, 전산화단층촬영(CT) 또는 자기공명영상(MRI)이 주로 시행됩니다. 현재 부신을 영상학적으로 평가하고자 할 때 전산화단층촬영이 1차적으로 시행될 수 있는 가장 보편적인 검사 방법입니다.
전산화단층촬영(CT)이나 자기공명영상(MRI)은 부신뿐만 아니라 주변 림프절 전이 또는 다른 장기로의 원격 전이 등을 평가할 수 있습니다. 양전자방출단층촬영(PET) 등도 보조적으로 부신과 림프절, 원격 전이 등을 평가하는데 사용되기도 합니다.
인체에 무해한 초음파를 통해서, 비교적 손쉽게 일차적 선별 목적으로 시행해 볼 수 있는 검사 방법입니다. 최근 건강 검진에서 초음파를 많이 시행하면서 초음파에서 우연히 발견되는 부신종양이 증가하고 있는 추세입니다. 한편, 초음파는 부신에 생긴 종양이 고형인지 낭종인지를 구별해 내는데 유용하게 쓰이기도 합니다. 그러나 초음파만으로는 암의 정확한 진행 정도나 주변 림프절 등을 평가하기에 어려움이 있습니다.
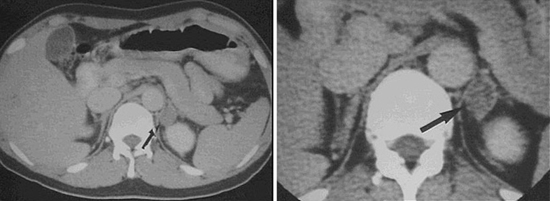
복부 전산화단층촬영(CT)은 현재 부신의 영상학적 검사에서 가장 먼저, 그리고 가장 많이 사용되는 검사방법입니다. 부신 종양의 크기, 모양, 주변으로의 침윤 정도를 비교적 정확하게 확인할 수 있습니다. 부신암이 확진되면, 전이 여부를 평가하기 위해 흉부 전산화단층촬영 등을 추가로 시행하여 부신 이외의 다른 장기들로의 원격 전이 등을 평가합니다.

[ 부신 종양에 대한 전산화단층촬영 ]

[ 부신 종양에 대한 자기공명영상 ]
부신암의 확진시 암의 전이 여부를 알아보기 위해 뼈스캔을 시행합니다.
기능성 부신암 중 갈색세포종의 진단에 사용할 수 있으며, 갈색세포종의 약 10%가 양측성이므로, 양쪽 부신에 종양이 있는 경우 양측성 갈색세포종 여부를 감별하거나 기능성, 비기능성 종양을 감별하기 위해 보조적으로 사용합니다.
암 검사방법 중 일반적으로 민감도가 높다고 알려진 검사방법이나, 부신암의 경우 어느 정도 진단에 도움이 되는지에 대해서는 더 많은 연구가 필요합니다.
부신암이 의심되거나 확인된 경우 호르몬 상태를 확인하기 위하여 혈중 혹은 소변의 호르몬을 측정하거나 분비 억제검사를 합니다.
기능성 부신암은 안드로젠, 에스트로젠, 당류 코르티코이드, 염류 코르티코이드 등을 분비하며, 악성 갈색세포종은 카테콜라민을 분비합니다.
당류 코르티코이드의 과잉분비 여부를 확인하기 위하여 다음의 검사들이 필요합니다.
1mg의 덱사메사존을 밤 11시에서 12시 사이에 복용하고 다음날 오전 8-9시 사이에 혈중 코르티솔 농도를 측정하여 코르티솔 농도가 억제되지 않는 경우 코르티솔 분비 과잉을 진단할 수 있습니다.
코르티솔을 과잉분비하는 종양의 경우 혈중 코르티솔 및 24시간 소변의 코르티솔이 증가될 수 있으며 호르몬은 일중 변화가 있기 때문에 24시간 소변을 모아 호르몬분비의 증가를 확인하여 진단합니다.
기저 코르티솔 농도를 측정하여 과잉여부를 간단하게 판단 할 수 있습니다. 뇌하수체-시상하부-부신 상태의 정확한 평가를 위하여 부신피질자극 호르몬(ACTH)도 같이 측정합니다. 일중 변화가 있기 때문에 오전에 측정할 것이 권장되고 있습니다.
혈중 레닌과 알도스테론 측정 : 알도스테론을 분비하는 종양의 경우 혈중 레닌이 감소하고 알도스테론이 증가하며, 칼륨 수치가 감소합니다. 임상적으로 고혈압이 동반되며 혈중 칼륨 수치 감소가 있는 환자에 대해 측정이 필요합니다.
부신에서는 에스트로젠, 테스토스테론 등 잘 알려진 성호르몬을 분비할 뿐 아니라 스테로이드의 여러 전구물질들이 생성됩니다. 호르몬의 과잉상태 감별을 위해서 테스토스테론, DHEA-S(디하이드로 에피안드로스텐디온-설페이트: 안드로겐의 전구물질), 안드로스텐디온(안드로겐의 전구물질), 17-수산화프로제스테론, 17-베타-에스트라디올 등의 호르몬 수치를 검사하는 것이 도움이 됩니다.
부신암 중 기능성 부신암인 악성 갈색세포종(malignant pheochromocytoma)를 감별하기 위해 24시간 소변을 모아서 분비되는 카테콜아민의 대사산물을 측정합니다. 갈색세포종이 진단되는 경우 다발성내분비선종증(MEN)이나 신경섬유종증(neurofibromatosis), 폰 히펠 린다우(von-Hippel-Lindau) 증후군 같은 유전질환의 가능성이 있으므로 이에 대한 검사도 필요합니다.
부신피질암의 병기는 다음과 같습니다.
| 병기 | 기준 | 해당병기 진단확률 |
| 1기 | 종양의 크기가 5㎝ 미만으로 림프절 및 원격전이가 없음. | 3-4% |
| 2기 | 병기 1과 같으나 종양의 크기가 5㎝ 이상. | 29-46% |
| 3기 | 주변지방조직 침범 혹은 림프절 전이가 있을 때 | 11-19% |
| 4기 | 국소침습과 림프절 전이를 동시에 가지거나 혹은 원격전이가 있을 때. | 39-49% |
부신피질선종은 조직학적으로는 정상 부신 세포와 비슷하나 기능상 자율성을 가진 부신 피질세포의 양성 신생물입니다. 10㎝ 이상의 양성 종양이 보고되어 있으나 선종은 보통 5㎝을 넘지 않으며 무게는 보통 100g 이하입니다. 조직학적으로 세포 형태의 다양성과 종양괴사가 있을 수는 있으나 실제 사례는 드물게 나타납니다. 비록 일률적인 차이는 있으나 신생물의 정확한 기능적인 유형을 단지 조직학적 소견에 근거를 두고 기술할 수는 없습니다. 선종은 고(高)코르티솔증, 고(高)알도스테론증 및 쿠싱증후군 등을 나타내며 드물게 부신성기증후군(adrenogenital syndrome)을 나타냅니다. 부신성기 증후군을 나타내는 큰 종양은 세포형태의 다양성, 종양괴사, 유사분열 등의 소견을 보이므로 암의 병리학적 소견에 합당합니다.
우연히 발견된 부신종양의 경우, 대개는 균질성이며 크기가 작고 양성입니다. 검사상 악성의 가능성이 매우 낮거나 별다른 합병증을 일으키지 않는 경우 당장 치료를 하지 않고 추적관찰을 하게 됩니다.
부신에 발생하는 종양은 임상소견, 검사실 소견, 영상학적 소견 등 치료 전 여러 가지 위험 인자들을 살펴보고 이를 종합하여 최종적으로 부신암의 가능성이 높다고 판단이 되면 수술적 제거를 결정하게 됩니다. 이는 부신암의 경우 양성 종양과 암이 쉽게 구분되지 않는 경우가 종종 있기 때문입니다.
부신에서 발견된 종양이 모두 악성을 의미하지는 않습니다. 즉 초음파검사나 전산화단층촬영(CT)에서 부신에 종양이 발견되었다고 해서 이것이 반드시 부신암을 의미하는 것은 아니며, 반드시 부신절제술을 받아야 하는 것도 아닙니다. 그 중에 상당수는 양성 종양이거나 단순 낭종인 경우가 많습니다. 암의 병력이 없다면 3명 중 2명은 양성 종양인 것으로 알려져 있습니다.
우연히 부신에서 종양이 발견되었을 때 종양의 크기가 4cm보다 작은 경우에는 암일 확률이 4-5%에 불과하며, 4cm이상인 경우는 10% 정도입니다. 그러나, 종양의 크기가 6cm를 넘어가는 경우에는 암일 가능성이 25% 정도로 큰 폭으로 증가하게 됩니다. 그러므로 6cm 이상의 종양의 경우는 양성으로 확인되기 전까지는 악성에 준해서 검사와 치료를 시행하게 되며, 4-6cm 크기의 부신 종양의 경우는 수술적 제거에 대해 아직 논란이 있습니다. 그러나, 일반적으로 수술을 견디어 낼만한 전신 상태가 되는 건강한 사람에게 4cm가 넘는 부신의 고형 종양이 있다면, 수술적 제거를 반드시 고려하여야 하며, 악성인지 양성인지의 여부가 조직학적으로 확인이 될 때까지 일단 암에 준하여 검사 및 치료를 받아야 합니다.
4cm보다 작은 부신 종양은, 대부분 양성 종양이라고 할 수 있지만 일부에서는 악성인 경우가 있습니다. 이런 경우에는 영상학적 검사나 혈액검사, 또는 필요한 경우 조직 검사 등을 통해서 부신암의 가능성을 종합해 보아야 하며, 그 결과에 따라 양성 종양의 가능성이 매우 높은 경우에는 주기적으로 전산화단층촬영(CT) 또는 자기공명영상(MRI)을 통해 종양의 변화 양상을 살펴보면서 추적 관찰할 필요가 있습니다. 그러나 만약 부신암의 가능성이 높다고 판단되는 경우, 또는 추적 관찰 도중 크기나 모양 등이 변하여 암을 시사하는 경우에는 수술적 제거를 통해서 종양의 조직소견을 정확히 진단하고 치료할 필요가 있습니다.
한편, 부신에서 우연히 발견되는 낭종의 경우 대부분 단순 낭종 또는 가성 낭종인 경우로, 대부분 부신암의 가능성이 없으므로, 증상이 없다면 주기적인 관찰만으로 충분한 경우가 많습니다. 만약 낭종이 증상을 유발한다면 비교적 간단한 수술로 제거할 수 있습니다.

[ 부신 종양의 감별 및 치료에 대한 모식도 ]
테스토스테론을 분비하는 부신암을 제외한 대부분의 부신암은, 악성도가 매우 높아서 국소 침윤이나 혈액을 통한 다른 장기로의 전이가 빈번하게 일어납니다.
부신암이 부신 내에 국한되어 있는 경우에는, 부신의 완전한 수술적 절제를 통해서 암으로부터 완치될 수 있으며 암에 의한 비정상적인 호르몬 분비가 교정되어 몸의 균형을 다시 찾을 수 있습니다. 그러나 암이 더욱 진행하여 수술로써 완전히 제거가 어려운 림프절까지 전이가 되어 있거나, 복막에 파종이 되었거나, 간, 폐, 뼈 등 다른 장기로 전이가 있는 경우는 병이 이미 전신에 퍼져 있는 것으로, 국소적인 치료방법인 수술은 큰 의미가 없게 됩니다. 이러한 경우에는 전신에 퍼진 모든 암에 효과를 미칠 수 있는 전신적인 치료(항암화학요법 등)가 필요 합니다.
부신은 여러 호르몬을 분비하는 장기이므로 타 장기의 수술과 달리 수술 전, 후에 좀더 특별한 처치가 필요한 경우가 많습니다. 기능성 종양의 경우 수술로 특정 호르몬을 분비하던 종양을 제거하면 일시적으로 다양한 형태의 호르몬 부족 현상으로 전해질이나 당 조절, 혈압조절에 문제가 발생할 수 있습니다. 특히 갈색 세포종의 경우, 수술 중 급격한 혈압 상승 및 변화가 있을 수 있으므로 수술 전 약 2주전부터 약물 조절이 필요하고, 수술 중에는 급격한 혈압상승에 대한 대비가 필요합니다. 그러므로 이러한 문제를 미리 대처하기 위해서는 수술 전에 부신 기능에 대한 면밀한 검사가 선행되어야 하며 수술 후에도 지속적인 검사 및 평가가 필요합니다.
국소 부신암의 완치를 위한 치료는 암이 발생한 부신을 수술로 완전히 제거하는 것입니다. 수술의 원칙은 암의 완전한 절제이며, 국소적으로 신장, 비장, 림프절 등 주변 장기로 침윤을 했다고 하더라도 수술적으로 제거 가능한 부위까지 모두 근치적으로 넓은 범위를 절제하는 것이 필요합니다. 마찬가지로 정맥으로 침윤을 한 경우라도 수술로 제거할 수 있다면 같이 제거해야 합니다. 수술로 완전 절제가 되면 장기생존할 기회가 증가합니다.
부신절제술은 수술 방식에 따라 개복을 하는 방법과 복강경이나 로봇으로 하는 방법으로 나누어 볼 수 있으며, 다시 부신으로의 접근 방식에 따라 경복막 접근법과 후복막 접근법으로 나누어 볼 수 있습니다. 물론, 부신을 포함한 암의 근치적 절제에 대한 원칙은 동일합니다.
그러나 주변 장기로의 침윤이 심하여 대부분의 암을 제거하지 못하거나 광범위한 원격 전이가 발생한 부신암의 경우에는 부신절제술이 큰 도움이 되지 못할 가능성이 높습니다. 한편, 국소 부신암이라고 하더라도 혈액응고장애가 있거나 심혈관계 기능이 심각하게 저하되어 있는 환자의 경우에는 수술 자체에 대한 위험이 높아 대상이 되지 않습니다.
가장 오래된 부신 절제술의 일반적인 방법입니다. 피부를 절개하고 이를 통해 부신을 절제하게 됩니다. 국소진행성 부신암의 경우 원칙적으로 개복하 부신절제술을 시행합니다.
최근 복강경 수술기술의 발전에 힘입어 많은 개복 수술들이 복강경으로 시행되게 되었습니다. 부신절제술 또한 많은 경우에서 최소한의 피부 절개만으로 복강경 수술이 시행되고 있으며, 개복 수술은 감소하고 있는 추세입니다. 그러나 국소 진행된 부신암이나 복강경으로 절제하기 힘든 경우에는 개복 수술을 시행하는 것이 좋습니다.

[ 복강경하 부신절제술 ]
최근 복강경 수술에 로봇 시스템이 도입되면서, 부신 절제술도 로봇을 이용해 시행할 수 있습니다. 로봇을 이용할 경우, 보다 정밀하고 섬세하게 수술을 할 수 있는 장점이 있으나, 아직까지 부신암에 대한 보편적인 수술방법이라고 할 수는 없으며, 향후 보다 많은 연구가 필요합니다.
- 마음가짐
반드시 병을 이겨내겠다는 적극적인 마음가짐은 암 치료의 가장 중요한 조건입니다. 막연한 두려움을 버리고 담당 의료진을 믿으며 차분하고 담담하게 병을 받아들이고, 병을 극복하겠다는 의지를 굳게 가져야 합니다. 너무 조급해 하거나, 절망하거나, 불안과 걱정을 심하게 하는 것은 병을 고치는데 도움이 되지 않습니다.
- 생활과 운동
규칙적인 생활을 하며, 하던 일도 가능한 그대로 유지하되, 수술을 받고 1~2개월 정도는 일을 중단할 수 있도록 정리와 조정을 합니다. 잠을 푹 자고, 과로를 피합니다. 하루에 30분에서 1시간 정도 규칙적으로 가벼운 운동을 합니다. 그러나 피로를 느끼는 과격한 운동은 피합니다. 이와 같은 생활은 면역력을 증강시켜 암의 진행을 방지하고, 수술 후의 회복에 도움을 줄 수 있습니다.
- 식사
식사는 평소에 하던 대로 하는 것이 좋습니다. 암에 걸렸다고 암방지 식이요법을 하는 경우가 많은데, 암이 걸린 상태에서는 암의 치료에 크게 도움이 되지 않습니다. 무조건 고기 종류를 피하는 것은 바람직하지 않으며, 모든 영양소를 균형 있게 골고루 섭취하는 것이 좋습니다. 수술을 앞두고 잘 먹어야 한다고 과식을 한다거나, 체중을 크게 늘리는 것은 좋지 않으며, 균형 있게 식사하고, 오래 씹어 위장의 소화 부담을 줄여 주는 것이 좋습니다.
암 치료에 효과가 있다고 알려진 상황 버섯, 영지 버섯, 느릅 나무즙, 미나리 등의 식품들을 먹는 경우가 있는데, 독성 간염, 혈소판 부족증 등을 유발해 오히려 수술을 못하게 만드는 경우가 발생하므로 절대 드시지 말기 바랍니다. 이외에도 담당 의사가 처방한 것 이외의 어떠한 약물이나 식품의 섭취도 주의 하시기 바랍니다.
- 약물 복용
기존의 앓고 있는 다른 병으로 인해 드시는 약이 있는 경우에도 반드시 담당 의사에게 알려 복용 여부에 대해 지시를 받아야 합니다. 고혈압이나 당뇨약 등은 계속 복용을 해야 합니다. 그러나 같이 처방되는 약 중에 아스피린이나 혈소판 작용 억제제가 들어 있을 때에는 적어도 수술하기 5-7일전에는 약 복용을 중지해야 합니다.
단, 고혈압 약은 수술하는 당일 날에도 복용을 하여야 합니다. 약물 복용은 반드시 담당 의사와 상의해야 합니다.
관절염으로 진통 소염제를 복용하거나 소위 뼈 주사라고 하는 스테로이드 제제 주사를 맞은 적이 있는 경우에도 반드시 의사에게 알려야 합니다. 이로 인해 부신 기능 저하증이 있을 수 있기 때문입니다. 부신 기능 저하증이 있는 상태에서 적절한 처치 없이 수술을 하는 경우 위험한 상황이 초래될 수 있습니다.
①관장
수술 바로 전날에는 대개 관장을 하게 됩니다. 따라서, 식사를 많이 하지 않는 것이 좋습니다. 수술 중 소장이나 대장에 내용물이 많으면 장의 부피가 커져 수술 시야를 방해하여 수술을 어렵게 하므로 관장을 하는 것입니다.
②배에 있는 털의 제거와 목욕
수술 범위내의 배에 있는 털을 없애 감염율을 낮추고, 수술 후 상처의 드레싱을 쉽게 합니다. 최근에는 면도보다는 제모제를 발라 털을 제거하는 경우가 많습니다. 수술 전날 목욕을 할 때에는 목욕 후 체온 유지를 잘하여 감기가 걸리지 않도록 주의하여야 합니다.
③수면
다음 날 있을 수술에 대한 불안으로 잠을 못 드는 경우에 의료진과 상의하여 수면제를 처방 받을 수 있습니다.
부신암 수술은 환자의 병의 정도, 수술 범위, 환자의 체형(비만 등)에 따라 수술 시간의 차이가 있게 됩니다. 수술은 전신마취 하에 하기 때문에 환자는 수술 중에 전혀 고통을 느끼지 않고, 기억을 하지도 못합니다. 수술 후에는 회복실에서 의식을 되찾고, 숨을 잘 쉬게 되면 보통은 1~2시간 내외로 입원실에 돌아오게 됩니다. 하지만 악성 갈색세포종 절제술과 같이 수술 후 환자의 상태가 혈역학적으로 불안정할 것으로 예측되는 경우 모니터링을 위해 중환자실에서 1-2일 지켜본 후 병실로 돌아가는 수도 있습니다.
도뇨관은 수술 후 체내 수분 대사가 적절한지를 관찰해야 하므로, 정확한 소변 양의 측정을 위해 유치해 둡니다. 상태가 안정적이면 수술 다음날 대개 제거합니다.
대개의 경우 복강 내에 배액관을 넣어 둡니다. 이는 복강 내의 오염된 복강액을 배출시키거나, 복강 내에 출혈 가능성이 있을 때, 외과 의사가 여러 가지 이유에서 안전장치로 넣어 두는 것입니다. 수술 후 문제없이 회복이 된 후에는 의사가 간단하게 제거할 것입니다.
수술 후에는 진통제를 투여하면서 통증을 조절하여 숨을 크게 내쉬어야만 무기폐가 되는 것을 막을 수 있습니다. 무기폐는 공기가 안 들어가는 허파라는 뜻으로 아파서 숨을 크게 못 쉬는 경우 발생하며, 수술 후 첫날 열이 나는 가장 흔한 원인입니다. 무기폐는 폐렴으로 진행될 수 있으므로 심호흡과 기침을 하여 예방을 하여야 합니다.
부신암이 특정 호르몬을 분비하는 기능성인 경우에는 그 동안 정상적인 반대편 부신의 기능이 상대적으로 저하되어 있을 가능성이 있기 때문에, 암의 제거 후에 호르몬 생산에 일시적인 불균형이 발생할 수 있습니다. 따라서 수술하기 전에 시행했던 기능성 평가 결과에 따라 수술 후에 그에 맞는 모니터링과 처치를 할 필요가 있습니다.
도뇨관은 보통 수술로부터 하루 내지 이틀 후에 환자가 스스로 걸어 다닐 수 있게 되면 제거합니다. 개복 수술을 한 경우에는 코를 통해 위배액관이 삽입되어 있는데, 수술 후 장운동이 회복되면 제거하게 됩니다. 수술 후 보통 1-2일에 장운동이 정상화되면 물을 먹기 시작하고, 방귀가 나오면 미음부터 시작하여 묽은 죽, 된죽 순으로 식사 수준을 올립니다. 배액관을 통해 나오는 체액이나 혈액의 양이 줄어들고 복강 내 더 이상 의미 있는 출혈이나 감염이 없다고 판단되면 배액관을 제거하게 됩니다. 상처 부위의 실밥을 7~8일 사이에 완전히 상처가 아문 것을 확인하고 제거합니다. 열이 나지 않고, 복부에 통증이 없고, 식사를 잘 하고, 혈액 검사 등에 이상이 없으면 수술 후 3-8일 사이에 보통 퇴원을 합니다.
수술 후 7일 정도 후에는 수술로 제거한 조직에 대한 병리 조직검사 결과가 나오게 됩니다. 조직검사 결과 중 병변의 크기 및 침윤정도, 림프절 전이의 정도로 병기가 최종적으로 결정이 됩니다. 병기에 관한 설명은 뒷부분에서 다룹니다. 이 병기를 근거로 수술 후의 보조 항암화학요법 여부 및 방사선 치료 여부 등이 결정됩니다.
암세포를 죽이기 위해 고에너지 방사선을 사용합니다. 그러나 부신암에 대해서는 방사선 요법이 자주 쓰이지 않는데, 그 이유는 부신암은 방사선치료에 잘 반응하지 않기 때문입니다.
재발성 혹은 전이성 부신피질암에는 보통 마이토탄(mitotane)에 의한 항암요법을 먼저 시작합니다. 2~6g을 2~3회 나누어 투여하며 부작용이 나타날 때까지 증량합니다. 스테로이드대사에 대한 직접적인 효과 때문에 마이토탄으로 치료한 환자의 약 2/3 이상에서 소변 중 17-하이드록시스테로이드와 17-키토스테로이드농도가 감소하며, 환자의 30~60%에서는 종양의 부분적인 반응이 관찰되나 완전관해(항암치료의 효과를 평가할 때 쓰이는 용어로, 치료 전 암의 증상과 증후가 완전히 소실되고, 이 상태가 1개월 이상 지속되는 경우)는 거의 없습니다. 마이토탄 치료 시작 후 반응은 보통 첫 6주에 나타나며 이 약물에 객관적인 반응을 보인 전이성 부신암 환자의 대부분은 후에 재발하나 몇몇 환자는 장기간 생존합니다. 부신피질암은 드문 질환이므로 마이토탄이 부신피질암의 자연경과를 변화시킬 수 있는지에 대한 대조군을 포함한 잘 고안된 연구는 아직 없습니다.
원발성 부신피질암의 완전 절제 후 보조요법으로는 추천되지 않고 있으나 일부 연구에서 부신피질암의 초기 수술 후 마이토탄의 보조요법은 생존율을 향상시키는 것으로 보고되고 있습니다. 결론적으로 마이토탄은 고(高)코르티솔증의 조절에는 효과적이나 항종양약물로는 그 효능이 제한되어 있습니다. 더욱이 중간 정도의 효과를 얻으려면 부작용이 나타나는 용량까지 사용해야 하므로 이 약물을 추천하지 않는 전문가도 있습니다.
마이토탄 외의 다른 항암제는 부신피질암에 대해 효과적이지 못합니다. 기대되는 약물로는 독소루비신, 아드리아마이신, 시스플라틴과 에토포사이드 등이 있으며, 이들을 단독 혹은 병용투여하여 부신암을 치료한 보고가 있으나 효과는 뚜렷하지 않습니다. 따라서 현재까지 부신피질암 치료에 지속적으로 효과적인 항암제 혹은 병합제는 없습니다.
암치료의 부작용은 사람마다 차이가 있으며 심지어 한 치료에서 그 다음 치료까지도 모두 다릅니다. 그러므로 치료는 부작용을 최소화하도록 계획합니다.
부신절제수술은 부신암의 크기와 침윤 정도, 수술 전 항암치료의 시행 여부 등 여러 가지 인자들 및 주변조직과의 유착 등으로 인하여 수술이 어려워질 수 있습니다. 수술 부위 주위에는 매우 중요한 장기와 큰 혈관들이 있어 세심한 수술 기법이 필요하며 부신 주변에 존재하는 중요 정맥과 동맥이 사람마다 여러 가지 변이가 가능하여 이러한 혈관들을 결찰하거나(묶거나) 피해서 박리해야 하므로 수술 중이나 수술 후 출혈의 위험성도 있습니다.
부신은 위치상 여러 중요 장기들과 인접해 있습니다. 따라서 부신 절제 수술 중에 주변의 장기들인 간, 비장, 신장, 소장 및 대장, 하대정맥, 비장정맥 등에 손상이 발생할 수 있습니다. 만약 부신암이 이런 주변 장기로 직접 침윤을 한 상태라면 수술적인 완전 절제를 위해서는 침윤한 장기의 부분 또는 전체를 절제할 수도 있으며 이 경우 주변 장기 손상의 위험이 커집니다.
우측 부신절제술 중에는 간 손상이 발생할 수 있습니다. 어느 정도의 간 열상은 지혈이 가능하며 필요한 경우 특수한 바늘로 봉합을 할 수 있습니다. 좌측 부신절제술 중에는 비장 손상이 발생할 수 있습니다. 비장 열상에 대한 지혈 방법은 간 열상 때와 동일합니다. 만약 비장 열상이 잘 지혈되지 않을 때는 비장을 제거하기도 하는데 비장을 제거해도 우리 몸에 큰 영향을 초래하지는 않습니다. 췌장 손상은 우측 또는 좌측 부신절제술에서 모두 발생할 수 있습니다. 손상 정도와 부위에 따라 단순히 수술 후 배액관만 두는 경우부터 췌장의 부분 절제까지 해야 하는 경우까지 있습니다. 부신암의 크기가 매우 큰 경우 절제과정에서 인접해 있는 신장의 일부에 손상을 줄 수 있습니다. 신장의 열상은 경미하다면 지혈로 끝날 수도 있지만 심하다면 신장의 부분 또는 전절제술을 받아야 하는 경우도 발생할 수 있습니다.
출혈은 모든 외과적 수술에서 발생할 수 있으며 부신 절제술에서도 발생할 수 있습니다. 부신의 주변에 위치하는 중요한 정맥들에는 부신정맥, 하대정맥, 신정맥, 요부정맥 등이 있는데 사람마다 여러 모양의 변이가 있어 이러한 정맥의 손상으로 인해 출혈이 발생할 수 있습니다. 현대의 외과적 수술방법으로 대부분의 출혈은 지혈이 가능합니다. 그러나 복강경 수술 중에 드물게 심각한 출혈이 발생하고 지혈이 잘 되지 않는 경우에는 개복 수술로 전환을 해야 하는 경우도 있습니다.
개복하 부신 절제술의 경우 개복 과정에서 늑막손상으로 인해 기흉이 발생할 수 있습니다. 대부분은 수술 중에 늑막공간으로 들어간 공기를 제거하고 다시 늑막을 봉합해 해결합니다. 그러나 정도가 심하거나 수술 중 해결되지 않는다면 수술 후에 일정 기간 동안 흉관을 두어야 하는 경우도 있습니다.
기능성 종양이 특정한 호르몬을 분비하고 있었다면 인체는 항상성을 유지하기 위하여 그 호르몬을 생산하고 있는 정상 장기의 기능이 상대적으로 억제됩니다. 따라서 수술 등으로 갑자기 종양이 사라지면 남아 있는 정상 장기가 갑작스러운 환경 변화에 바로 대응하지 못할 수 있는데 호르몬을 분비하는 부신을 절제하는 경우에도 마찬가지로 반대편 정상 부신의 기능이 바로 회복되지 못하여 다양한 형태의 호르몬 부족 현상을 경험할 수 있습니다. 특히 전해질이나 당 조절에 문제가 생길 수 있으며 혈압에도 변화가 올 수 있습니다. 비기능성 부신암이라고 하더라도 고령이거나 반대편 부신의 기능이 현저하게 떨어졌다면 이와 유사한 상태가 발생할 수 있습니다. 따라서 이러한 문제를 방지하기 위해서는 수술 전에 부신 기능에 대한 철저한 평가가 선행되어야 하며 수술 후에도 이에 대한 철저한 모니터링과 예방적 처치가 필요합니다.
수술 후의 통증으로 인해 숨을 깊고 크게 쉬기가 어려워 폐가 쭈그러드는 현상을 무기폐(無氣肺)라 합니다. 수술 후 열이 나는 가장 흔한 원인이며 그대로 방치하면 호흡곤란과 폐부전증(肺不全症)이 올 수 있고 폐렴이 생기기도 쉽습니다. 수술 후의 폐렴은 치료하기가 까다롭고 폐부전증은 사망을 부를 수 있습니다.
무기폐를 예방하려면 수술 후 심호흡을 하고 수술 다음날부터 일어나서 걷고 기침을 해서 가래를 뱉어 내야 합니다. 수술 전에 풍선 불기와 함께 병원에서 주는 특수한 흡기 연습기구로 숨을 크게 내쉬는 연습을 하고 수술 후에도 그것을 활용해 계속 크게 호흡함으로써 폐가 쭈그러들지 않도록 해야 합니다. 특히 흡연하는 분은 기관지 내 분비물로 인해 폐렴이나 무기폐가 될 가능성이 더욱 높으므로 수술 전에 반드시 금연하는 것이 좋습니다.
배 안에 고름집이 생기는 것으로 부신을 절제하면서 절제하면서 비장이나 대장, 간 등 다른 장기를 병합절제한 후에 오기 쉽습니다. 큰 수술 범위, 긴 수술 시간, 환자의 면역력 저하, 고령이나 당뇨 등이 위험 요인입니다. 수술 후 5~10일 사이에 배가 아프고, 열이 나면 전산화단층촬영(CT)으로 복강 내 농양(고름집)을 진단할 수 있고 배 안에 관을 삽입하여 고름을 바깥으로 빼고 항생제 치료를 합니다.
수술한 부위로 장이 들러붙고(장유착) 이로 인해 장이 움직이지 못해 음식물이 통과하지 못하는 현상(장폐색)이 생길 수 있습니다. 또한 수술부위로 장이 뒤틀리고 장과 함께 혈관도 몇 바퀴 꼬이게 되면 피가 안 통하여 장이 썩을 수도 있습니다. 이때 환자는 배가 아프거나 불러 오고 구토를 하며 방귀가 전혀 나오지 않습니다. 장폐색이 심하지 않을 때는 코로 비위관(콧줄)을 넣어 장내 압력을 떨어뜨리고 금식을 하고 항생제를 투여하면서 기다리면 유착이 풀리면서 장폐색이 호전될 수 있습니다. 만약 비위관과 금식으로 호전이 되지 않으면 수술을 하여 유착 부위를 풀어주는데 경우에 따라 장을 절제해야 할 수도 있습니다. 장폐색은 생명을 위협할 수 있는 위험한 합병증입니다. 수술 후 가능한 한 많이 걷는 것이 중요한 예방법입니다.
상처에 염증이 생기면 상처를 벌려 고름을 뽑아내고(배농) 항생제를 투여하면서 치료합니다. 며칠 후 상처가 깨끗해지면 다시 봉합을 합니다. 장액종(漿液腫)이란 맑은 조직액이 상처 틈에 고여서 치유를 방해하는 것으로 피하지방이 두꺼운 환자에게 잘 생깁니다. 배액을 해주면 저절로 아뭅니다.
부신암의 항암화학요법에 쓰이는 약물인 마이토탄(mitotane)의 부작용으로는 위장관 독성(식욕부진, 오심, 구토, 설사), 신경근육 독성(우울증, 현기증, 진전, 두통, 혼돈, 쇠약감), 피부발진 등이 있습니다. 이 약물로 치료받는 환자의 79%는 위장관 독성을 50%는 신경 근육 독성을 그리고 15%는 피부발진을 경험합니다. 마이토탄은 아스피린 작용과 비슷하게 출혈시간을 연장시키고 혈소판 응집 반응의 이상을 초래합니다. 효과를 관찰하기 위해서는 일정 농도 이상의 혈중 마이토탄이 필요하며 특히 독성과 효능을 보이는 농도 간에 차이가 적으므로 혈중 마이토탄 농도 측정이 중요합니다. 마이토탄은 독성을 흔히 나타내는 문제가 많은 약물이므로 이러한 부작용을 최소화하기 위해서는 용량을 조절해야 합니다.
부신은 주변에 여러 중요 장기들과 인접해 있는데 암이 진행될 경우, 특히 신장으로 직접 침윤해 들어가는 경우가 많으며 그 외에도 하대정맥이나 비장정맥으로 침윤해 들어가는 경우가 있습니다. 한편, 부신암이 혈액을 타고 돌아 다니다가 멀리 떨어진 장기로의 전이가 발생할 수 있는데, 잘 전이되는 장기로는 폐가 가장 흔하며, 그 외에도 간, 림프절, 뼈 순서로 전이가 잘 발생하는 것으로 보고되어 있습니다.
수술 후, 혹은 항암화학요법이나 방사선치료 중, 혹은 치료 이후, 의사나 병원에 따라 다소의 차이는 있지만 일반적으로 수술 후 첫 3년은 3개월마다, 3~5년은 6개월마다 그리고 수술 후 5년이 지나면 매년 외래 방문을 통하여 불편한 증상이 없는지 보고, 진찰, 검사 등을 하게 됩니다. 검사의 종류도 의사나 병원에 따라 다소의 차이가 있는데, 대개 혈액검사, 단순 흉부방사선 검사, 복부 전산화단층촬영 등의 영상 검사 등을 할 수 있습니다.
부신암은 상대적으로 드문 암 중 하나이기 때문에, 유병율에 대한 연도별 변화추이 또한 보고되어 있지 않습니다. 그러나, 건강검진이 보편화되면서 초음파 검사에서 우연히 발견되는 부신 종양은 과거에 비해 늘고 있는 추세입니다. 외국의 여러 자료를 종합해 보면 부신암으로 진단된 경우 치료를 받더라도 5년 생존율은 약20-47% 입니다. 현재까지 부신암을 완치할 수 있는 방법은 암이 부신 내에 국한되어 있을 때 수술로 완전히 제거하는 방법 밖에는 없기 때문에, 주기적으로 시행하는 건강검진의 복부 초음파 검사가 부신암의 조기 발견에 매우 중요하다고 하겠습니다.
국소 부신암 또는 국소적으로 주변 장기로 진행된 상태더라도 수술로 절제가 가능하다면, 가능한 암 병변을 수술적으로 절제하는 적극적인 치료가 시행되어야 합니다. 또한 이런 경우 재발률을 낮추기 위한 시도로 보조적 항암화학요법이 시행될 수 있습니다. 치료 당시의 병이 얼마나 진행되었는지에 따라 치료 성적은 차이가 있게 되나, 수술적으로 완전 절제가 된 경우에는 약38-62% 까지 향상된 생존율을 보입니다.
부신암은 크게 기능성과 비기능성으로 나뉘는데 이러한 기능에 따른 분류와 부신암의 예후와의 관계는 아직까지 논란이 있습니다.