다발골수종은 주로 골수에서 발생하는 혈액암의 일종이나 간혹 골수를 둘러싸고 있는 뼈나 기타 여러 장기에서 고형 종양의 형태를 보이는 형질세포종으로 발생하기도 합니다.
다발골수종은 우리 몸에서 면역항체를 만드는 형질세포가 혈액암으로 변하여 주로 골수에서 증식하는 질환입니다. 다발골수종의 암세포는 건강한 항체 대신 비정상 단클론단백(M 단백)을 분비하며 이로 인해 뼈 병변, 통증, 빈혈, 신장 기능 이상, 고칼슘 혈증 및 감염과 같은 다양한 증상이 나타나게 됩니다. 질병 초기에는 약간의 비정상 M 단백만을 분비하나 증상이 없는데 이러한 경우에는 의미불명단클론감마병증(Monoclonal Gammopathy of Undetermined Significance, MGUS)라고 하며, 악성화된 형질세포의 수 또는 M 단백이 증가되어 있으나 상기 다발골수종의 증상이 없는 경우에는 무증상골수종(Smoldering Myeloma)으로 분류합니다.
다발골수종의 전단계 병변으로 알려진 의미불명단클론감마병증(Monoclonal Gammopathy of Undetermined Significance, MGUS)는 50세 이상 인구의 약 3%에서 발견되며 특별한 증상은 없고 건강검진 등을 통해 우연히 발견되게 됩니다. 이중 1년에 약 1%가 다발골수종으로 진행하게 되며 이 의미불명단클론감마병증의 정확한 원인은 밝혀져 있지 않으나 유전적 원인 및 고령, 면역억제, 방사선 노출, 벤젠 및 유기용제, 제초제 및 살충제 등이 위험 인자로 알려져 있습니다.
건강 검진 시에 혈청 글로불린 수치가 상승한 환자들의 일부에서 정밀검사를 통하여 다발골수종 세포에서 만드는 비정상적인 M 단백이 발견될 수 있습니다. 신장 기능이 나쁘거나 고칼슘 혈증, 빈혈, 골다공증 등 뼈에 이상이 발견되는 환자들 중에서도 드물게 다발골수종 진단을 받는 경우도 있습니다.
다발골수종은 환자들마다 증상의 차이가 있으나 가장 흔한 대표적인 증상으로는 빈혈, 뼈 통증, 신장 수치 상승, 및 고칼슘 혈증이 있습니다. 빈혈은 다발골수종의 원인이 되는 형질세포의 골수 내 증식에 의하며 이로 인한 피로감, 어지러움 및 호흡 곤란 등의 증상이 발생할 수 있습니다. 뼈의 통증 및 골절 역시 다발골수종의 가장 흔한 증상 중의 하나이며 특히 척추뼈의 압박 골절이 발생하는 경우 허리 통증 외에도 하지 마비 등의 신경학적 증상이 동반될 수 있습니다. 고칼슘 혈증으로 인한 구역감, 변비, 의식 및 정서 상태의 변화가 유발될 수 있으며, 신장 기능 저하로 인한 혈액 검사상 신장 수치의 상승 및 단백뇨가 발생할 수 있습니다. 또한 면역 기능의 저하로 인한 감염 증상 및 응고 인자 기능 저하로 인한 출혈 증상도 다발골수종에서 보일 수 있는 증상에 속합니다.
다발골수종의 진단을 위해서는 혈액 및 소변 검사와 함께 골수검사를 시행하여 혈액 및 소변에서 검출되는 비정상 단클론단백(M 단백)의 확인과 함께 골수 내 클론성 형질세포를 확인하게 됩니다. 채취된 골수를 통해 다발골수종의 진단뿐만 아니라 염색체와 유전자 검사를 시행하여 향후 질환의 경과 및 예후에 대한 정보를 얻을 수 있습니다. 또한 단순 방사선 검사(X-ray) 및 전산화 단층 촬영(CT)이나 자기공명영상(MRI)와 같은 영상학적 검사를 통해 종양이 발견되는 경우 조직 검사를 통해 진단하기도 합니다.
다발골수종은 형질세포증식 질환으로 이와 유사한 질환으로는 단클론성 면역글로불린이 침착되어 발생하는 전신경쇄아밀로이드증, 발덴스트롬 마크로글로불린혈증, 포엠스 증후군과 같은 질환이 있습니다.
다발골수종의 치료에 있어 근간은 항암화학요법입니다. 비교적 젊은 환자는 복합항암화학요법에 이은 고용량항암치료 및 자가조혈모세포이식을 시행 받고 이후 필요에 따라 공고항암요법이나 유지항암요법을 시행 받게 됩니다. 자가조혈모세포이식 시행이 어렵거나 고령인 환자의 경우 복합항암화학요법을 지속적으로 시행 받게 되며 이식 시행 여부에 따라 항암제의 선택이 달라지게 됩니다. 다발골수종은 신약의 개발과 승인이 활발하게 이루어지고 있는 질환으로 이로 인해 항암 효과가 높아지고 부작용이 적어져서 조혈모세포이식 기법의 발전과 더불어 환자의 생존율 증가에 도움이 되고 있습니다. 또한 다발골수종은 자가조혈모세포이식이 시행되는 대표적인 혈액암으로 이식 시행을 위해 환자 본인의 조혈모세포를 미리 채집하여 보관한 후에 고용량의 항암제를 투여 받고 이후 골수 회복을 위해 미리 채집해놓은 본인의 조혈모세포를 다시 주입 받게 됩니다. 이러한 고용량의 항암제를 투여하는 이유는 암세포가 가지고 있는 항암제에 대한 내성을 극복하기 위해서이며, 현재 여러가지 신약이 지속적으로 개발되고 있는 시점에서도 여러 연구를 통하여 자가조혈모세포이식의 유용성은 꾸준히 증명되고 있습니다.
다발골수종은 현재까지는 다양한 치료 방법으로도 완치가 어려운 질환입니다. 하지만 최근 신약 개발이 지속적으로 이루어지고 있어 이에 따라 치료 성적이 지속적으로 향상되고 있으며 국제골수종연구그룹 (IMWG)의 보고에 따르면 완치 가능성은 약 14.3%로 보고되었습니다. 복합항암화학요법 및 자가조혈모세포이식 시행 이후 재발한 경우 환자의 나이, 전신 상태 및 질환의 경과에 따라서 구제항암화학요법 시행을 결정하게 되고 경우에 따라서는 자가조혈모세포이식을 한 번 더 시행하거나 동종조혈모세포이식을 시행하기도 합니다.
다발골수종은 주로 골수에서 발생하는 혈액암의 일종이나 간혹 골수를 둘러싸고 있는 뼈나 기타 여러 장기에서 고형 종양의 형태를 보이는 형질세포종으로 발생하기도 합니다. 특히 뼈에 침범하는 경우가 흔하며 이러한 경우 척추의 통증이나 압박골절 및 이로 인한 하지마비와 같은 신경학적 증상을 유발할 수 있습니다.
형질세포는 B림프구가 항원에 자극을 받아 최종적으로 분화되는 세포로 혈액이나 조직 내에 존재하며, 체내에 침입한 바이러스나 세균 등에 대항해 싸우는 단백질(항체, 면역글로불린)을 생산, 저장, 분비합니다. 우리 몸의 혈액 속의 형질세포는 B세포가 외부에서 들어온 침입자(항원)와 싸우기 위해 최종적으로 분화된 세포입니다. 이 형질세포와 골수에서는 각종 싸이토카인이라는 단백을 분비해 우리 몸에 필요한 항체를 만들게 됩니다.
다발골수종은 우리 몸에서 면역항체를 만드는 형질세포가 혈액암으로 변하여 주로 골수에서 증식하는 질환입니다. 다발골수종의 암세포는 건강한 항체 대신 비정상 단클론단백(M 단백)을 분비하며 이로 인해 뼈 병변, 통증, 빈혈, 신장 기능 이상, 고칼슘 혈증 및 감염과 같은 다양한 증상이 나타나게 됩니다. 질병 초기에는 약간의 비정상 M 단백만을 분비하나 증상이 없는 경우에는 의미불명단클론감마병증 (Monoclonal Gammopathy of Undetermined Significance, MGUS)라고 하며, 악성화된 형질세포의 수 또는 M 단백이 증가되어 있으나 상기 다발골수종의 증상이 없는 경우에는 무증상골수종(Smoldering Myeloma) 으로 분류합니다.
다발골수종은 환자들마다 증상의 차이가 있으나 가장 흔한 대표적인 증상으로는 빈혈, 뼈 통증, 신장 수치 상승 및 고칼슘 혈증이 있습니다. 빈혈은 다발골수종의 원인이 되는 형질세포의 골수 내 증식에 의하며 이로 인한 피로감, 어지러움 및 호흡 곤란 등의 증상이 발생할 수 있습니다. 뼈의 통증 및 골절 역시 다발골수종의 가장 흔한 증상 중의 하나이며 특히 척추뼈의 압박 골절이 발생하는 경우 허리 통증 외에도 하지 마비 등의 신경학적 증상이 동반될 수 있습니다. 고칼슘 혈증으로 인한 구역감, 변비, 의식 및 정서 상태의 변화가 유발될 수 있으며, 신장 기능 저하로 인한 혈액 검사상 신장 수치의 상승 및 단백뇨가 발생할 수 있습니다. 또한 면역 기능의 저하로 인한 감염 증상 및 응고 인자 기능 저하로 인한 출혈 증상도 다발골수종에서 보일 수 있는 증상에 속합니다.
다발골수종 환자의 가장 흔한 증상은 허리 통증이나 갈비뼈의 통증입니다. 이 통증은 파골세포(osteoclast)가 뼈 조직을 파괴하여 생기는데 안정 시에는 경미하지만 움직일 때는 통증이 심하고 아픈 부위가 이동하는 것이 특징입니다. 통증이 계속되면 병적 골절의 가능성도 염두에 두어야 합니다. 또 뼈 조직이 파괴되어 칼슘이 혈액으로 과도하게 방출되면 심한 고칼슘 혈증이 일어납니다. 칼슘 농도가 높아지면서 심각한 탈수, 피로, 무력감, 입맛의 소실, 구갈, 의식 저하 등의 현상이 나타날 수 있고, 심장 및 신장에 피해를 줄 수 있습니다.

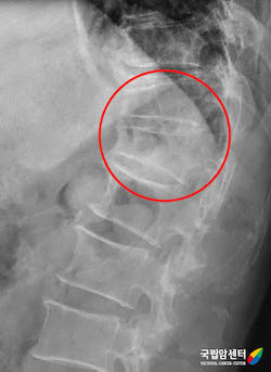
[ 다발골수종 환자에서 발생한 척추뼈의 압박 골절(X ray) ]

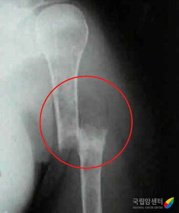
[ 다발골수종 환자에서 발생한 위팔뼈의 골절(X ray) ]
신부전은 다발골수종에서 흔한 증상 중의 하나로 원인은 다양하나, 벤스-존스(Bence Jones) 단백뇨가 원인이 되는 경우가 많습니다. 급성 및 만성의 신부전이 자주 나타나는데 그 주된 원인은 형질세포에서 분비하는 비정상적인 단백질인 M-단백이 신장에 침착되어 신독성을 나타나기 때문입니다. 또한 고칼슘 혈증도 신장 기능을 급격히 악화시키는 부수적인 요인으로 작용하게 됩니다. 일반적으로 신장 기능이 좋지 않은 경우에는 신장 기능이 정상인 경우에 비해 치료 예후는 좋지 않은 것으로 알려져 있습니다.
빈혈, 출혈성경향
골수에 형질세포가 증가하면 상대적으로 정상 조혈세포가 억제되어 말초혈액에 빈혈이나 혈소판 감소 등이 나타납니다. 빈혈로 무력감, 피로를 호소하고 혈소판 감소로 비출혈(코피)과 같은 출혈 증상 및 멍이 드는 증상이 발생할 수 있습니다. 또한 비정상적인 단백이 지혈 기능을 억제하여 출혈 경향이 더 나타나게 됩니다.
비정상적 형질세포의 증가로 정상 면역글로불린의 생성이 상대적으로 저하되어 폐렴이나 요로 감염 등 세균 감염증이 빈번하게 됩니다.
|
다발골수종 정의 기준 |
|---|
|
골수내 클론성 형질세포 ≥10% 또는 조직검사상 확인된 형질세포종 그리고 다발골수종을 정의하는 아래 한 가지 이상의 증상 |
|
● 형질세포질환으로 인한 아래 장기 손상의 증상이 하나 이상 있는 경우 ■고칼슘 혈증(혈청 칼슘이 정상 상한치보다 1.0mg/dl 이상 상승 또는 11mg/dl 이상) ■ 신부전(크레아티닌 청소율 40ml/분 미만 또는 혈청 크레아티닌 2.0mg/dl 이상) ■ 빈혈 (혈색소 10.0g/dl 미만 또는 정상 하한치보다 2.0g/dl 이상 감소) ■ 영상검사상 발견된 골 용해 병변 |
|
● 아래 종양 관련 지표 중 하나 이상이 있는 경우 ■ 골수내 클론성 형질세포 ≥60% ■ 비정상 혈청 유리 경쇄 비율 ≥100 ■ MRI 검사상 5mm 이상 크기의 국소 병변이 두 개 이상 |
(출처; Lancet Oncol, 2014)

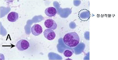
[ 다발골수종의 골수검사소견 ]
비정상적인 형질세포가 증가된 것을 관찰 할 수 있습니다. 세포질이 풍부하고 핵이 한편으로 치우쳐 있는 세포들(A)이 관찰됩니다.

[ 다발골수종의 말초혈액 도말검사소견 ]

[ 다발골수종 환자의 두개골 X선 ]
M-단백(Monoclonal protein, 단클론성 단백)은 악성화한 형질세포에서 생산되는 비정상적 단백질(면역글로블린)로 혈액 내에 축적되거나 소변으로 배출됩니다. M-단백은 한 종류의 면역글로블린 중쇄와 한 종류의 경쇄로 구성됩니다. 중쇄에는 면역글로블린G (IgG), 면역글로블린A(IgA), 면역글로블린 M(IgM)이 있고 경쇄에는 카파, 람다가 있습니다. M-단백은 전기영동법(eletrophoresis)으로 정상 면역글로블린과 구별이 가능합니다.
의미불명단클론감마병증 (monoclonal gammopathy of undetermined significance, MGUS)은 혈청 내 M-단백 증가를 보이기는 하나 양이 많지 않으며 (3g/dl 미만), 임상적으로는 악성의 증거가 없는 질환으로 대개는 치료를 요하지 않으나, 1년에 약 1%의 환자에서는 다발골수종으로 진행하게 되므로 정기적으로 경과를 관찰해야 하는 질환입니다.

[ M 단백 검출을 위한 전기영동검사 ]

[ 다발성골수종 환자의 양전자방출단층촬영 ( PET ) ]
양전자방출단층촬영(PET CT) 검사를 통해 골수종의 침범 위치를 알 수 있으며, 특히 골수 외 병변이나 예상하지 못했던 골 병변을 찾아내는데 도움이 됩니다.
다발골수종은 전신상태를 반영하는 알부민 수치와 종양 진행 정도를 간접적으로 나타내는 베타2마이크로글로불린 수치를 기준으로 병기를 1, 2, 3 기로 나누고 있습니다. 최근에는 기존의 병기에 세포유전학적 검사와 종양 크기를 간접적으로 반영하는 혈청 젖산탈수소효소 (LDH) 수치를 추가하여 1, 2, 3기로 분류하는 개정된 국제병기가 소개되었습니다. 다발골수종의 병기는 치료 방법의 선택보다는 주로 예후를 예측하는 용도로 사용됩니다.
| 병기 | 정의 | 예후 (중앙생존기간) |
|---|---|---|
| 1기 | 혈청 베타2마이크로글로불린<3.5mg/L & 혈청 알부민 ≥ 3.5 g/dL | 62개월 |
| 2기 | 1기와 3기를 제외한 모든 경우 | 44개월 |
| 3기 | 혈청 베타2마이크로글로불린 ≥ 5.5mg/L | 29개월 |
|
병기 |
정의 |
예후 (5년 생존율) |
|---|---|---|
|
1기 |
국제병기 1기이면서 고위험군 염색체이상이 없고 혈청 LDH 가 정상인 경우 |
82% |
|
2기 |
1기와 3기를 제외한 모든 경우 |
62% |
|
3기 |
국제병기 3기이면서 고위험군 염색체이상이 있거나 혈청 LDH 가 증가된 경우 |
40% |
*고위험군 염색체이상: del17(p), t(4:14), t(14:16)
다발골수종은 형질세포증식 질환으로 이와 유사한 질환으로는 단클론성 면역글로불린이 침착되어 발생하는 전신경쇄아밀로이드증, 발덴스트롬 마크로글로불린혈증, 포엠스 증후군과 같은 질환이 있습니다.
다발골수종의 치료에 있어 기본은 항암치료입니다. 일반적으로 70세 미만인 환자분들은 자가조혈모세포이식의 대상이며, 유도 항암치료에 이은 고용량항암치료 및 자가조혈모세포이식을 시행하고, 이후 유지치료를 받게 됩니다. 70세 미만이지만 동반된 기저질환으로 자가조혈모세포이식 시행이 어렵거나 70세 이상의 고령 환자의 경우 복합항암화학치료 후 유지치료를 받게 됩니다. 다발골수종은 신약의 개발과 승인이 활발하게 이루어지고 있는 질환이며, 이에 따라 치료 성적도 계속 발전하고 있습니다.
항암화학요법은 가장 기본적인 치료이며 환자분들의 증상 완화에 도움을 주고 생존률을 유의하게 개선시켜 줍니다. 따라서 다발골수종으로 진단 받으면 반드시 항암치료를 시작해야 합니다.
70세 미만의 젊은 환자들은 유도 항암치료에 이은 고용량항암치료 및 자가조혈모세포이식을 시행하게 됩니다. 진단 시 종양을 최대한 줄이는 치료를 유도 항암치료라고 하며, 현재 표준 유도 항암치료는 벨케이드(velcade), 레날리도마이드(lenalidomide), 덱사메타손(dexamethasone) VRD 병용요법입니다. 이러한 VRD 치료를 4~6주기 시행하고 자가조혈모세포이식을 위한 조혈모세포를 채집을 한 이후에 고용량화학요법을 시행하고 자가조혈모세포를 이식해서 골수 기능을 회복시킵니다. 이후 환자들은 획득한 좋은 치료반응을 유지하여 질병 진행 또는 재발률을 낮추기 위해 레날리도마이드(lenalidomide) 유지치료를 받게 됩니다. 일반적으로 유지치료는 질병이 진행할 때까지 지속하게 됩니다.
70세 미만이지만 기저질환으로 자가조혈모세포이식이 어렵거나 70세 이상의 고령의 환자는 복합항암치료만으로 치료를 진행합니다. 70세 미만의 환자들과 마찬가지로 VRD 병합요법으로 치료를 시작하며, 대개 8주기의 VRD 치료를 시행합니다. 이후 벨케이드를 제외하고 레날리도마이드와 덱사메타손 병용요법을 질병이 진행할 때까지 지속적으로 투여하게 됩니다. VRD 3제요법(3가지 약제를 투여하는 치료방법)을 견디기 어려울 것으로 예상되는 일부 환자들에서는 처음부터 VRD에서 벨케이드를 제외하고 레날리도마이드 및 덱사메타손으로 2제요법을 시작하여 계속 유지하기도 합니다. 덱사메타손은 스테로이드 제제로서 지속적으로 투약 시 고혈압 및 당뇨 등 여러 가지 부작용을 일으킬 수 있으므로, 일반적으로 일정 주기의 레날리도마이드와 덱사메타손 병용요법을 진행 후 덱사메타손은 중단하고 레날리도마이드 단독요법을 유지하게 됩니다.
항암화학요법에 이어 자신의 조혈모세포를 채집한 후 고용량의 항암제를 투여하고 다시 본인의 조혈모세포를 이식하는 방법으로 국내 요양급여 기준상 이식 가능 연령은 70세 미만입니다. 항암제 치료만 진행한 환자들과 비교하여 자가조혈모세포이식을 시행하는 것이 환자들의 장기 생존률을 개선시켜 주기 때문에 70세 미만인 환자들에서는 다른 금기 사항이 없다면 자가조혈모세포이식을 진행하게 됩니다.

[ 다발골수종 환자에게 자가조혈모세포이식과 항암화학요법 비교 ]
[다발골수종 환자에게 자가조혈모세포이식과 항암화학요법 비교-다발골수종 환자에서 자가조혈모세포 이식과 고식적인 항암화학요법 성적을 비교한 것으로, 이식을 받은 환자에서 장기 생존율이 높게 나타났습니다.]
자가조혈모세포이식의 시행을 위해서는 우선 ‘호중구 집락생성촉진인자(Granulocyte colony-stimulating factor, G-CSF)’를 단독으로 투여하거나 항암제와 병용한 이후 성분채집기를 통해 환자 본인의 조혈모세포를 분리하고 수집하게 되며, 채집에 소요되는 날짜는 개인차가 있어서 하루에서 수 일까지 소요될 수 있습니다. 충분히 수집된 조혈모세포는 이후 이식 시행 시까지 냉동상태로 보관하게 됩니다.
성공적으로 조혈모세포가 채집되고 유도 항암치료가 완료되면 조혈모세포이식을 진행하게 됩니다. 먼저 전(前)처치 항암치료를 시행 받게 되는데, 이는 고용량의 항암제(일반적으로 멜팔란[melphalan])을 투여하는 과정을 의미하며, 이를 통해 통상적인 용량의 항암제에는 내성을 보이는 암세포에서도 내성을 극복하는 효과가 있습니다. 전처치 항암치료가 완료되면 1-2일의 휴식기를 가지고, 이후 냉동상태로 보관되어 있던 자가조혈모세포를 해동하여 중심정맥관을 통해 혈관 내로 주입하게 됩니다. 주입된 조혈모세포는 환자의 골수에 자리 잡게 되고, 이후 새로운 혈액 세포를 만들게 되는데 이 과정을 생착(engraftment)이라고 합니다. 골수 기능이 충분히 회복되고 환자의 전신 상태가 회복되면 퇴원이 가능합니다. 새로 이식된 골수세포는 이전에 환자가 가지고 있던 면역에 대한 기억이 없어진 상태이므로 어느 정도 면역세포수치가 회복된 시점부터는 B형간염, 폐렴구균, DTaP, MMR, 수두 등 예방접종을 시행 받게 됩니다.

[ 자가조혈모세포이식 과정 ]
증상 완화의 목적으로 많이 사용되고 있는 방법으로 X선이나 고에너지 방사선을 사용합니다. 뼈의 통증 치료에 효과가 좋아 진통제의 사용을 줄일 수 있고, 통증으로 인한 운동 제한이 호전되어 뼈의 무기질 소실이 방지됨으로써 골병변의 진행을 방지할 수 있습니다.
다발골수종의 악성 형질세포는 여러 물질들을 분비하여 환자의 뼈에서 칼슘을 유리(따로 떨어짐)시켜 뼈를 약하게 하고 심하면 골절을 일으킵니다. 이를 방지하고 치료하기 위하여 비스포스포네이트 계열의 약제를 투여하는데, 주로 졸렌드로네이트(zolendronate) 주사약제가 사용됩니다. 콩팥(신장) 기능이 저하된 환자들에서는 졸렌드로네이트 대신 데노수맙(denosumab)이라는 단클론항체를 사용할 수도 있습니다. 이들 약제는 약 4주 간격으로 투약하며, 투약기간 동안에는 칼슘과 비타민 D의 보충을 같이 하게 됩니다.
다발골수종에서 흔한 증상 중의 하나는 골 관련 합병증이며, 특히 척추의 불안정성을 유발하여 압박 골절이 발생할 수 있습니다. 척추성형술은 비교적 덜 침습적인 방법으로 파괴된 척추를 안정시켜주는 치료이며, 경피적 척추성형술(vertebroplasty)과 경피적 풍선척추성형술(kyphoplasty)이 대표적인 방법입니다. 경피적 척추성형술(vertebroplasty)은 척추가 더 이상 주저앉지 않도록 의료용 인공시멘트를 넣어주는 방법이고, 경피적 풍선척추성형술(kyphoplasty)은 척추에 풍선을 넣어서 척추를 바로 세워주고 풍선이 빠져나간 공간에 의료용 시멘트를 주입하는 방법입니다. 어떠한 시술 방법을 적용할지는 각 병원에서 시술을 담당하는 신경외과 전문의나 마취통증의학과 전문의의 선택에 따라 달라질 수 있으나 모두 환자의 통증 감소에 도움될 수 있는 시술입니다.

[ 경피적척추성형술(vertebroplasty) ]

[ 경피적풍선척추성형술(kyphoplasty) ]
1차 치료 후 반응을 획득하였으나 나중에 질병이 재발한 환자 또는 1차 치료약제에 불응인 환자에게는 다른 치료 방법이 필요합니다. 최근 10여 년에 걸쳐 재발 또는 치료불응 다발골수종 치료를 위한 다양한 신약들이 개발되어 사용되고 있으며, 대표적으로는 카필조밉(carfilzomib), 포말리도마이드(pomalidomide), 다라투무맙(daratumumab), 익사조밉(ixazomib) 등의 약물이 있습니다.
아울러 보다 최근에는 이전 여러 차수의 항암치료에도 질병이 재발한 다발골수종 환자들을 대상으로 면역세포치료제인 CAR-T 치료(chimeric antigen receptor T-cell)가 매우 좋은 성적을 보여주었으며, 우리나라에서도 도입되길 기대하고 있습니다.
이외에도 새로운 표적치료제나 면역치료제들이 연구 중에 있으며, 이 약제들을 이용하여 치료하는 임상시험들이 전세계적으로 활발히 이루어지고 있고, 여러 연구들에서 기존의 항암제들과 비교하여 유의미하게 좋은 치료 성적들을 보여주고 있습니다. 따라서 표준 항암치료로 충분한 치료효과를 얻지 못한 경우 이러한 신약들을 이용한 임상시험에 참여를 적극적으로 권장됩니다.
[위 콘텐츠는 대한종양내과학회의 참여로 제작되었습니다]
항암화학요법이나 방사선치료 등의 치료과정에서 정상세포들이 손상되어 여러 가지 합병증을 초래하게 됩니다.
항암화학요법으로 인해 나타나는 부작용은 항암제의 종류에 따라 다르며, 같은 항암제를 같은 용량으로 투여하더라도 환자에 따라 부작용의 정도가 다르게 나타날 수 있습니다.
일반적으로 나타나는 부작용으로는 면역저하로 인한 감염, 빈혈, 출혈 위험과 위장관 기능손상으로 인해 나타나는 입안의 통증, 오심과 구토, 설사, 변비 그리고 모낭세포의 손상으로 인한 탈모 등이 있습니다. 이 밖에도 성기능의 장애, 피부의 반점, 손톱 모양의 변화 등의 증상이 있을 수 있습니다.
항암제 특이적으로 나타날 수 있는 부작용 중 대표적으로 벨케이드(velcade)에 의한 말초신경병증이 있습니다. 증상은 주로 손끝 또는 발끝으로부터 시작되는 저림 증상으로, 심하지 않으면 치료 없이 경과관찰을 해볼 수 있지만 경우에 따라서는 증상 완화를 위한 약물 치료가 필요하며, 일부 환자들에서는 벨케이드 용량 감량 또는 중단이 필요한 경우도 있습니다.
방사선치료 부작용은 방사선이 적용된 특정 부위나 범위, 조사된 방사선의 양, 환자의 건강상태에 따라 치료 후에 몇 주 내에 다양하게 나타날 수 있습니다. 방사선이 조사된 부위 피부의 발적, 색소 침착, 붓는 증세나 위장관 장애, 비뇨기 장애, 생식기 장애, 탈모, 피로 등의 증상을 경험할 수 있으나 이는 치료가 끝나면 회복될 수 있습니다.
다발골수종은 현재까지는 다양한 치료 방법으로도 완치가 어려운 질환입니다. 대부분의 환자에서 재발을 하기 때문에 재발 방지를 위한 조혈모세포이식 및 유도요법 이후 유지요법 등이 시도되고 있으며 재발한 경우에 조혈모세포이식을 받지 않았던 환자는 조혈모세포이식을 시도해 볼 수 있고, 기존의 약제를 투여 받았던 환자는 약제를 최근 출시되는 표적치료약제 등으로 전환하여 치료해 볼 수 있습니다. 최근 다양한 종류의 신약들이 개발되었으며 각각의 약제별로 다양한 특성들이 있으므로 재발 상태에서 약제의 선택은 질환의 상태 및 환자의 상태와 동반 질환 등을 고려하여 선택하게 됩니다.
2023년에 발표된 중앙암등록본부 자료에 의하면 2017-2021년의 다발골수종의 5년 상대생존율은 남녀 전체 50.1%로 보고되었으며, 남자가 50.6%, 여자가 49.6%였습니다.
다발골수종의 5년 상대생존율1)은 다음과 같습니다.
|
다발골수종 |
1993-1995년 |
1996-2000년 |
2001-2005년 |
2006-2010년 |
2011-2015년 |
2017-2021년 |
|---|---|---|---|---|---|---|
|
남녀전체 |
23.7% |
21.0% |
29.8% |
35.0% |
41.6% |
50.1% |
|
남 |
23.2% |
19.1% |
30.0% |
35.3% |
41.2% |
50.6% |
|
여 |
24.1% |
23.2% |
29.7% |
34.8% |
42.1% |
49.6% |
<보건복지부 중앙암등록본부, 2023년 12월 발표 자료>